「開咬を治すと顔は変わるの?」
「矯正で横顔はきれいになる?」
このように気になって歯列矯正を検討されている方も多いのではないでしょうか?
結論からいうと、開咬の矯正治療では、歯並びだけでなく口元や横顔の印象が変化することがあります。
今回は、実際に開咬をワイヤー矯正で改善し、横顔にも変化が見られた症例をご紹介します。
開咬(オープンバイト)とは?
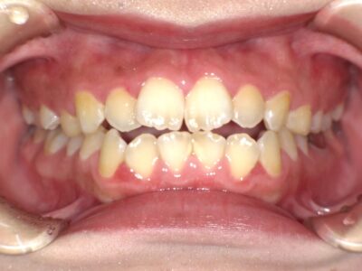
開咬とは、奥歯は噛んでいるのに前歯が接触せず、すき間が空いている状態のことをいいます。
見た目だけでなく、食事のしにくさや発音などにも影響するかみ合わせです。
開咬の歯並びについて:前歯が噛み合わない原因とは…それ、オープンバイトかもしれません【弊害や治療法について】

開咬を改善したら口元の印象が変わる理由
開咬の状態では、口元のバランスが崩れやすく、
- 口元が前に出て見える
- 口が閉じにくい
- 顎に力が入りやすい
といった特徴が見られることがあります。矯正治療によって歯の位置やかみ合わせが整うことで、口元のバランスが改善され、横顔の印象が変わることがあります。
症例紹介:開咬と口元の変化
◼︎ご相談内容(主訴)
21歳、女性の患者さま。前歯が噛み合わないことに加え、横顔の見た目(口元の突出感)を気にされて来院されました。
大人の歯に生え変わる頃から歯並びを気にされていたものの、治療のタイミングを逃していたとのことでしたが、翌年から始まる就職活動をきっかけに、矯正治療を検討されるようになりました。


◼︎診断
診察の結果、前歯が噛み合わない「開咬」に加え、口元が前方に出やすい状態が見られたため、かみ合わせと横顔のバランスの両方を改善できる治療計画をご提案しました。
◾️治療方法
今回の症例では、口元の突出感を改善するために、歯を後方へ移動させるスペースを確保する必要がありました。そのため、上下左右の小臼歯を1本ずつ、計4本抜歯しました。
ワイヤー矯正によって、まずは歯並びのガタガタを解消し、その後抜歯したスペースを利用して口元を下げて行きました。
また、患者さまのご希望で、できるだけ目立ちにくい装置をご希望されていたため、表側矯正(ワイヤー矯正)の中でも白いワイヤーを使用し、見た目にも配慮しながら治療を進めていくことになりました。
歯並びだけでなく、口元や横顔のバランスも考慮しながら、無理のない範囲で歯の移動をコントロールしていきます。


◾️治療期間
患者さまが通院間隔や装置の使用にしっかりとご協力くださったこともあり、約1年9ヶ月で動的治療を終了しました。
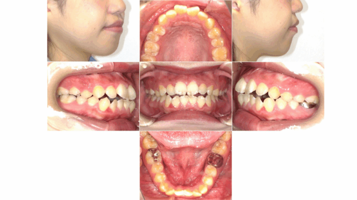
■治療前後の変化
治療前は前歯にすき間があり、口元の突出感も見られましたが、治療後は前歯がしっかり噛み合い、口元がすっきりとした印象になりました。横顔のバランスも整い、より自然な口元へと変化しています。
◾️症例詳細
主訴:前歯がかんでいないことが気になる
診断名:開咬
初診時年齢:21歳
装置名:表側矯正(ワイヤー)
抜歯部位:上下左右第一小臼歯
治療期間:1年9ヶ月
費用:税込810,000円
リスク・副作用:痛み、歯根吸収、歯肉退縮、虫歯、後戻り
なぜ顔が変わったのか?
今回の症例では、抜歯によって歯を後ろに動かすスペースを確保しました。その結果
- 前歯が後方へ移動
- 口元の突出感が軽減
- 横顔のラインが整う
このように、歯の位置の変化が顔の印象にも影響します。
抜歯すると顔は変わりすぎる?
「抜歯すると顔が変わりすぎてしまうのでは?」と不安に思われる方もいらっしゃいます。
実際には、骨格やバランスを考慮しながら歯の移動量をコントロールしていくため、
極端に変化してしまうことはほとんどありません。
患者さま一人ひとりの状態やご希望に合わせて、無理のない範囲で治療を進めていきます。
まとめ
開咬の矯正治療では、歯並びの改善だけでなく、口元や横顔の印象が変化することがあります。特に、抜歯を伴うケースでは、口元のバランスが整い、よりすっきりとした印象になることもあります。
「顔がどう変わるのか気になる」という方は、まずはご自身の状態を知ることが大切です。
「自分も顔が変わるのか知りたい」
「抜歯が必要か不安」
という方は、まずは現在の歯並びやかみ合わせ、横顔のバランスを確認してみませんか?
大宮SHIN矯正歯科では、歯並びだけでなく横顔の印象も含めて診断を行い、
お一人おひとりに合った治療方法をご提案しています。












































































