外科矯正とは
単に歯並びだけでなく、顎の骨格そのものに問題があるために、歯列矯正治療だけでは解決できないと診断された場合に行う手術を伴う矯正治療のことです。
外科手術によって顎の骨の位置や形を改善することで、かみ合わせの改善だけでなく、顔の輪郭や審美的な改善も期待できます。

外科矯正とは
外科矯正の対象となるのは、主に 顎変形症(がくへんけいしょう) と診断されたケースです。「見た目の問題」と思われがちですが、実際には かみにくさ・発音のしづらさ・顎関節への負担 など、生活の質に大きな影響を及ぼすことがあります。
- 下あごが大きく前に出ている(受け口)

受け口 - 下あごが後方に下がっていて、顎が目立たない

下顎が後退 - 前歯がかみ合わずすき間が空いている(開咬)

開咬 - 顔が左右にゆがんでいる(非対称)

左右非対象 - 笑うと歯茎が大きく見える(重度のガミースマイル)

ガミースマイル
外科的矯正治療の流れ
診断・検査
まずは、CTやレントゲン(セファロ)、歯型の模型などで顎の骨や歯並びの状態を詳しく調べます。顎のずれの大きさやかみ合わせを分析し、外科手術(骨切り矯正)が必要かどうかを判断します。

術前矯正(約1〜2年)
手術の前に、歯列矯正で歯を正しい位置へ移動し、手術後にかみ合わせが合うように準備します。これは、手術であごの骨を動かした後に上下の歯がしっかり噛み合うようにするために欠かせないステップです。ワイヤー矯正(マルチブラケット装置)を使用するのが一般的です。

外科手術(入院期間1〜2週間)
術前矯正で歯が整ったら、いよいよ外科手術を行います。全身麻酔下で、ずれているあごの骨を切り、正しい位置に移動・固定し、骨格のバランスを整えます。
主な手術法
- 下顎枝矢状分割術(SSRO):下あごを前後に移動
- Le Fort I型骨切り術:上あごの位置を移動
- 上下顎移動術:上下の骨を同時に移動(重度の症例)
- オトガイ形成術:あご先の形を整える
手術後は腫れや違和感がありますが、2〜3週間で落ち着きます。

術後矯正(約1〜2年)
手術で骨の位置を整えた後、再び矯正治療を行い、歯並びを微調整し、安定したかみ合わせに仕上げます。

保定・経過観察(約1〜2年)
矯正装置を外した後は、リテーナー(保定装置)を使用して歯と骨を安定させます。定期検診で、かみ合わせ・骨の安定を確認します。
外科矯正の全体期間はおよそ3〜5年。長期間にわたる治療ですが、「矯正治療」と「骨切り矯正(手術)」を段階的に進めることで、見た目だけでなく噛む機能・発音・顎関節の安定も目指し、生活の質を大きく改善できる可能性があります。

外科矯正にかかる費用と保険適用
外科矯正の対象となるのは、主に 顎変形症(がくへんけいしょう) と診断されたケースです。「見た目の問題」と思われがちですが、実際には かみにくさ・発音のしづらさ・顎関節への負担 など、生活の質に大きな影響を及ぼすことがあります。
保険が使える条件
外科矯正は、すべての人が保険で受けられるわけではありません。
以下の条件を満たす場合、健康保険が適用されます。
- 顎変形症と診断されている
- 外科手術が必要とされる
- 「顎口腔機能診断施設」として認定された医療機関で治療を行なった場合に限る
費用の目安
- 保険適用あり
自己負担は3割程度(入院・手術を含め約20〜30万円程度になることが多い)
- 保険適用なし(自費)
さらに高額療養費制度を利用することで、入院・手術にかかる自己負担額を抑えることが可能です。
外科矯正で改善できること
- 見た目の改善
フェイスラインや横顔が整い、バランスの取れた顔立ちになります。
- 機能の改善
噛み合わせが安定し、食事がしやすくなる・発音が明瞭になるなど生活の質が向上します。
- 心理的な変化
見た目のコンプレックスが解消され、自信を持って笑えるようになる方も多いです。

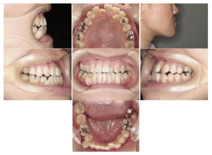
外科矯正の治療症例


| 主訴 | 歯並びのガタガタと下顎が出ている |
|---|---|
| 診断名 | 叢生・下顎前突 |
| 初診時年齢 | 30歳 |
| 使用装置 | ワイヤー矯正 |
| 抜歯部位 | 上顎左右第一小臼歯、下顎左側第一小臼歯 |
| 治療期間 | 術前矯正1年半・術後矯正1年 |
| 費用 | 矯正治療 税抜¥200,000〜¥300,000 外科手術は高額療養費の対象です |
| リスク副作用 | 全身麻酔の合併症、術後の痛み、腫れ、一時的な麻酔や知覚過敏、口が開きにくい、感染症、神経の損傷 |
よくある質問
手術は痛いですか?
手術は全身麻酔で行うため、手術中の痛みはありません。術後は腫れや違和感がありますが、徐々に改善します。
入院はどのくらい必要ですか?
一般的には1〜2週間程度です。術後の経過によっては短縮されることもあります。
誰でも外科矯正を受けられますか?
骨格に明らかなズレがあり、手術が必要と診断された場合に限られます。軽度の不正咬合であれば矯正治療のみで対応可能です。
当院の外科矯正治療について
当院では、厚生労働省が定める特定の先天性疾患について、矯正専門医と口腔外科が連携し、健康保険を利用した外科矯正に対応しています。
「自分は外科矯正が必要かもしれない…」と感じたら、まずは矯正歯科にご相談ください。
専門医の診断により、保険適用の有無や治療の流れが明らかになります。
初診相談でわかること
外科矯正は、すべての人が保険で受けられるわけではありません。
以下の条件を満たす場合、健康保険が適用されます。
- 保険が適用できるかどうか
- 治療にかかる期間やながれ
- 費用の目安