矯正中でも
色ムラのない美しい白い歯へ
矯正治療中は、矯正装置の着用により、歯の黄ばみや着色など気になる方は多くいらっしゃいます。
当院のホワイトニングでは、ワイヤーやアタッチメントなどの補助装置がついていても、 そのまま施術を受けることができます。
そのため歯の白さに色ムラが生じず、矯正治療中でも美しい白い歯を実現することができます。

このようなお悩みの方へ
- 加齢による歯の黄ばみが気になる方
- 矯正治療と合わせて口元を美しくしたい方
- 結婚式やイベントを控えている方
- 自分の笑顔にもっと自信を持ちたい方
ホワイトニングとは
どんなに丁寧に歯を磨いていても、加齢やコーヒー・ワインなどの飲食物、喫煙習慣などによって、歯は徐々に黄ばんでいきます。特に象牙質と呼ばれる歯の内側に沈着した色素は、歯磨きや歯科でのクリーニングだけでは落とすことができません。
そのような内側の着色を、歯を削らずに専用の薬剤で漂白し、自然な白さ以上に仕上げる方法がホワイトニングです。ホワイトニングを行うことで、口元が明るくなり、笑顔の印象も大きく変わります。

着色の原因
- 遺伝的なもの
生まれつきの歯の質や色調に影響
- 飲食物
色の濃い飲食物に含まれる色素が歯に沈着し、日常的な摂取によって少しずつ黄ばみが蓄積
- 加齢
噛む刺激や唾液量が減ることで、歯の表面に汚れや着色しやすくなる
- 内因的なもの
お薬の副作用や虫歯による歯の変色など、体の内側から起こる要因
ホワイトニングのメリット
歯を削らずに白くできる
専用のホワイトニング剤を使って内側から漂白し歯を白くするので、歯を削る必要はありません。大切な天然歯に負担をかけずに白く輝く歯を手に入れることができます。
本来の歯の色より白さUP
歯の状態にもよりますが、ホワイトニングで本来の白さ以上の歯の色に仕上げることが可能です。
笑顔がより魅力的に
歯が白くなる効果は口元だけでなく、お顔が明るくなって魅力的な笑顔となります

日本人の歯に合わせた
ホワイトニング
当院では、従来のホワイトニングで多くの方が不安に感じていた
「痛み」や
「食事制限」を大幅に改善した、
スーパーポリリンホワイトニングを導入しています。
ポリリンホワイトニングとは過酸化水素(漂白作用をもつホワイトニング剤)に、短鎖分割ポリリン酸Naという生体成分を加えた薬剤を
使用する施術方法です。


ポリリンホワイトニングの特徴
- 過酸化水素+ポリリン
刺激を抑えつつ、高い漂白効果を実現
- ダメージから守る
歯が痛みにくい
- 色戻りしにくい
施術直後でも飲食制限なし
- ポリリンコーティング
虫歯・口臭も予防◎
- エナメル質強化
透明感・ツヤがぐんと増す
- 歯科医院の施術
医療機関で行う安心感と高品質な製剤
矯正中でも、より白く汚れがつきにくい歯へ

より透明感・ツルツル感のある白さ
ポリリンが歯の表面の汚れを浮かせて落とし、過酸化水素が歯の表面・内部の色素を分解。歯の内部に水分と共に過酸化水素が入り込み、潤いを与えながら歯を白く漂白します。

色戻りしにくく白さ長持ち!直後から飲食OK
ポリリンのコーディングにより歯の水分バランスを調整し、痛みや汚れの付着を防ぐため、施術直後から飲食がOKです。プライベートや仕事が忙しい方でも支障なく施術ができます。

痛みが気になる方もOK
従来のホワイトニング治療では、過酸化水死の漂白により、歯が一時的に脱水状態になるため、強い痛みを感じたり、しみやすくなります。
ポリリン酸により歯の脱水症状を抑え保護するため痛みにくい特徴があります。

矯正治療中でも装置を外して施術ができる
当院のホワイトニングでは、ワイヤーやアタッチメントなどの装置がついていても、全て外して施術を受けることができます。
そのため歯の白さに色ムラが生じず、矯正治療中でも美しい白い歯を実現することができます。

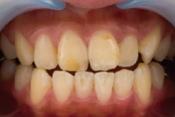
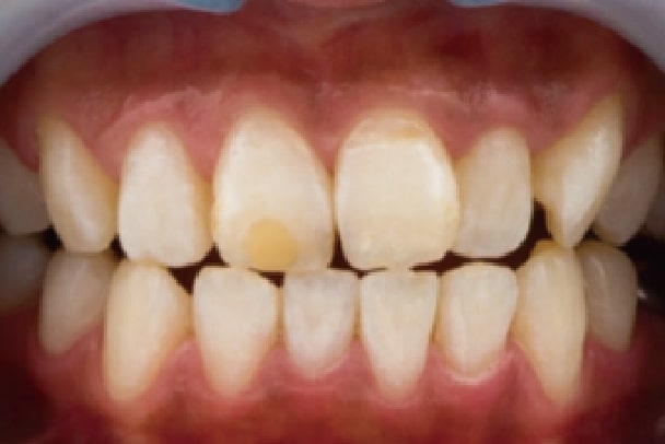
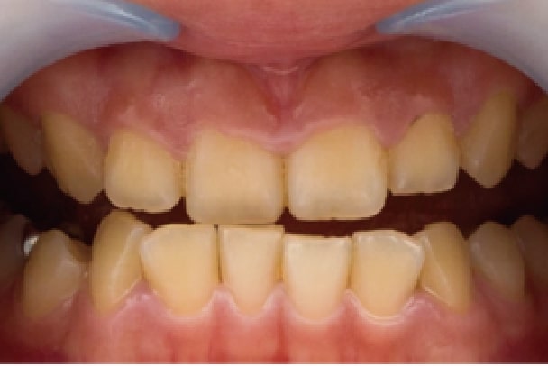
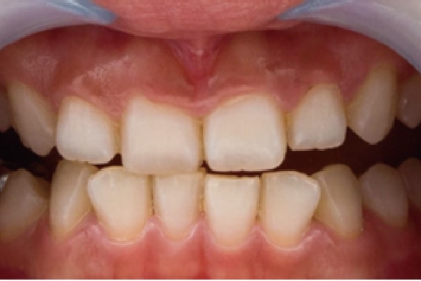
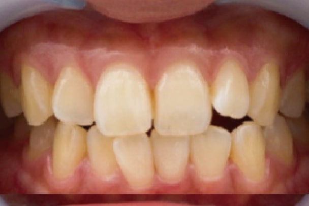
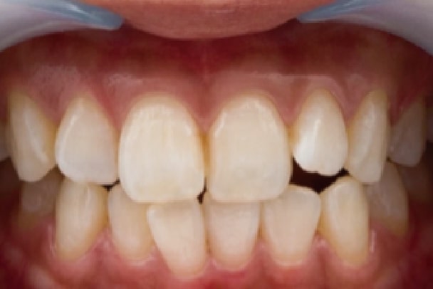
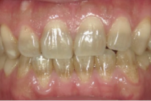
ホワイトニングの症例写真
施術回数 3回(月に1回程度のご来院)


施術名 | ポリリンホワイトニング |
---|---|
費用 | 初回料金 14,400 円 (税込:15,840円)通常料金 18,000 円 (税込19,800円)合計50,400円(税込55,440円) |
治療のリスク・ 副作用 | 一般的な知覚過敏・疼痛・冷水による痛み・歯の色ムラを生じる事があります。 |
治療期間 | 3カ月程度/通院回数:3回 |
施術回数 5回(月に1.5回程度のご来院)


施術名 | ポリリンホワイトニング |
---|---|
費用 | 初回料金 14,400 円 (税込:15,840円)通常料金 18,000 円 (税込19,800円)合計86,400円(税込95,040円) |
治療のリスク・ 副作用 | 一般的な知覚過敏・疼痛・冷水による痛み・歯の色ムラを生じる事があります。 |
治療期間 | 2カ月程度/通院回数:5回 |
施術回数 3回(月に1回程度のご来院)


施術名 | ポリリンホワイトニング |
---|---|
費用 | 初回料金 14,400 円 (税込:15,840円)通常料金 18,000 円 (税込19,800円)合計50,400円(税込55,440円) |
治療のリスク・ 副作用 | 一般的な知覚過敏・疼痛・冷水による痛み・歯の色ムラを生じる事があります。 |
治療期間 | 2カ月程度/通院回数:5回 |
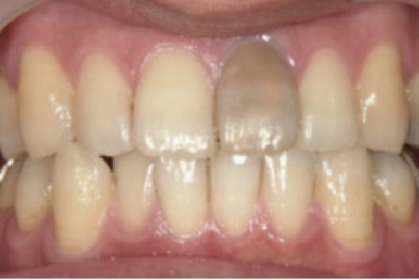
ホワイトニングの効果
効果が出にくい歯
テトラサイクリン歯
(抗生物質服用による副作用)

神経を取っている歯、
もしくは神経が死んでいる歯

効果が出ない歯
- 治療された箇所
- インプラント

ホワイトニングの注意事項
効果は永久には続きません
ホワイトニングの効果は永久的に続くものではなく、色戻りします。
ホワイトニングの効果の持続期間は、患者様の生活習慣や歯の質により異なります。知覚過敏
施術中や施術後に知覚過敏が生じる場合がございます。
ただし症状は一時的なものがほとんどなので、数時間から数日すれば治まることが多いです。痛みが続くようでしたら、痛み止めなどをお飲みいただいて対応して頂きます。また、痛みが治まるまではホワイトニングを控えることをお勧めします。ホワイトニングが受けられない方
・妊娠中、授乳中、妊娠の可能性が高い方 ・無カタラーゼ症 ・光線過敏症 ・ヘルペス等の感染症の方 ・未成年の方 ・表側のワイヤー矯正中の方(場合によって可) ・当院に矯正治療で通院していない方
ホワイトスポットについて
歯質によって、ホワイトニング直後から歯に白い模様が現れる場合があります。
個人差はありますが、数時間から3日程度で元の状態に落ち着いていきます。
心配なようでしたら、イベントを控えている方はイベントの2 週間前までにホワイトニングを終えることをお勧めします。
施術の流れ
ご来院・受付
お口の状態・白さの目標・不安や疑問などをお伺いします。
気になることをご相談ください。

無料カウンセリング(初回のみ行います)
お口の状態・白さの目標・不安や疑問などをお伺いします。
気になることをご相談ください。

施術前の歯の色チェック
施術前後に比較するための歯を決め、専用のガイドを使用し、
お客様と一緒に確認・記録しておきます。

歯面清掃・唇の保護
専用のブラシで歯面を清掃し、唇を保護するクリームを塗ります。

施術の準備
お口を開く器具(アングルワイダー)を装着し、歯茎に保護剤を塗布します。

ホワイトニング薬剤を塗布し、ライト照射
ホワイトニングする歯に薬剤(ジェル)を塗布し、専用ライトを照射し、時間をおきます。

施術後の歯の色をチェック
事前に記録した歯で、施術前後の違いをお客様と一緒に確認します。
