 
                                    目次
正中離開とは?
「正中離開(せいちゅうりかい)」とは、上の前歯の真ん中にすき間ができている状態のことを指します。一般的に「すきっ歯」と呼ばれることもあります。
見た目の問題だけでなく、発音が不明瞭になったり、食べ物が挟まりやすくなるなどの不便を感じる方も少なくありません。

正中離開の原因
正中離開にはいくつかの原因があります。
- 歯とあごの大きさのバランス(歯が小さい/あごが大きい)
- 歯の数が通常よりも少ない
- 舌癖(舌を前に押し出す習慣)
- 上唇小帯の異常
原因によって治療方法や治療期間は変わってきます。
マウスピースで正中離開を矯正治療した症例
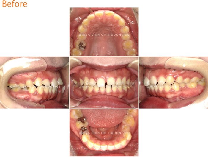
患者さまの悩み
「前歯のすき間が気になる」と来院された30代の女性。見た目のコンプレックスが主な理由でしたが、歯の隙間から空気が漏れて発音が不明瞭になる、といった機能的な面での悩みもありました。

治療方法
目立たない矯正装置を希望されたのでマウスピース矯正装置(インビザライン)を選択しました。
歯を内側に寄せるスペースを確保しながら、前歯を少しずつ動かす計画を立てました。
- マウスピースの装着時間は1日20〜22時間
- 約1~2週間ごとに新しいマウスピースへ交換
- 治療期間:約2年半

治療経過

◼︎治療開始〜6ヶ月
1回目のマウスピースは全部で24枚。初め装置に慣れるまでは14日間交換、慣れてからは7日交換で進めました。約6ヶ月間で22枚のマウスピースを使用しました。

こちらが治療を始めて半年後のお口の中の状態です。患者さまの1番の悩みだった「前歯の隙間」は改善されています。
しかし、上下の正中(前歯の中心)が揃っていない(画像2)ことと、奥歯のかみ合わせが不十分(画像1,3)なため、再度マウスピースを作成し、調整を行いました。
◼︎1年後
2回目は、10日間交換で約5ヶ月間。18枚のマウスピースと顎間ゴムを使ってかみ合わせを改善していきました。
治療後の変化
- 見た目のコンプレックスがなくなり、人前で自然に笑えるようになった
- サ行・タ行の発音がクリアになり、話しやすくなった
- 食事中に食べ物が詰まりにくくなった

症例まとめ
- 主訴:前歯の隙間が気になる
- 診断名:空隙歯列
- 初診時年齢:32歳
- 使用装置:マウスピース矯正装置(インビザライン)
- 抜歯部位:なし
- 費用:¥850,000(税込¥935,000)
- リスク・副作用:痛み、歯根吸収、歯肉退縮、虫歯、後戻り
正中離開の治療期間と費用の目安
- 軽度の正中離開:半年〜1年程度(部分矯正で対応可能な場合も)
- 中等度〜重度の正中離開:2〜3年程度(全体矯正が必要)
- 費用:部分矯正30〜60万円、全体矯正80〜120万円程度
※症例の難易度や使用する装置によって異なります。
当院では、患者さまのニーズに応じて矯正治療の支払い方法を複数ご用意しています。詳しくはこちらのページをご覧ください。
まとめ
正中離開(すきっ歯)は放置しても自然に治ることはほとんどありません。この症例のように、マウスピースで時間をかけて歯列を矯正することで、見た目だけでなくかみ合わせも改善されれば、後戻りの心配がありません。
「前歯のすき間が気になる」「矯正で本当に治るの?」と悩んでいる方は、まずは初診相談でご自身の状態を確認することをおすすめします。
 
                                        

