矯正治療による横顔・
口元の変化(症例集)

矯正治療は、歯並びを整えるだけでなく、横顔や口元の印象にも影響することがあります。

出っ歯や口元の突出感、唇の位置などは、正面からは気づきにくく、横顔で初めて悩みに気づく方も少なくありません。

矯正歯科では、こうした横顔や口元のバランスを「プロファイル」と呼び、歯並びだけでなく顔全体の調和も考慮しながら治療計画を立てます。

このページでは、矯正治療によって横顔・口元にどのような変化が見られたのか、実際の治療症例をご紹介しています。

横顔の変化が気になる方は、ぜひ参考になさってください。


CASE 2

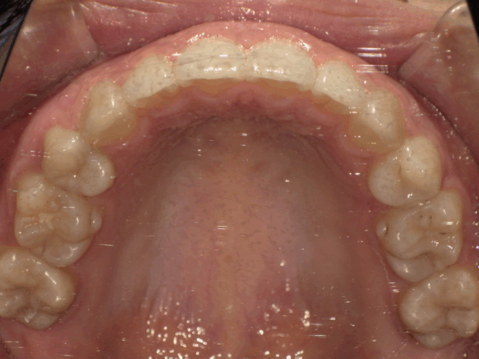
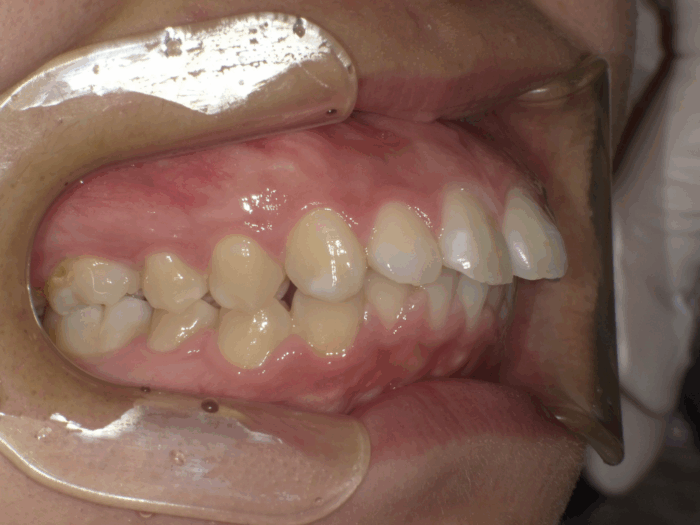
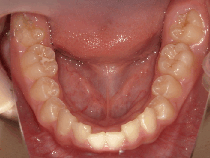
叢生(ガタガタ)、反対咬合(受け口)

30歳/女性/治療期間:2年6ヶ月

抜歯 表側矯正
症例の詳細はこちら

プロファイル比較

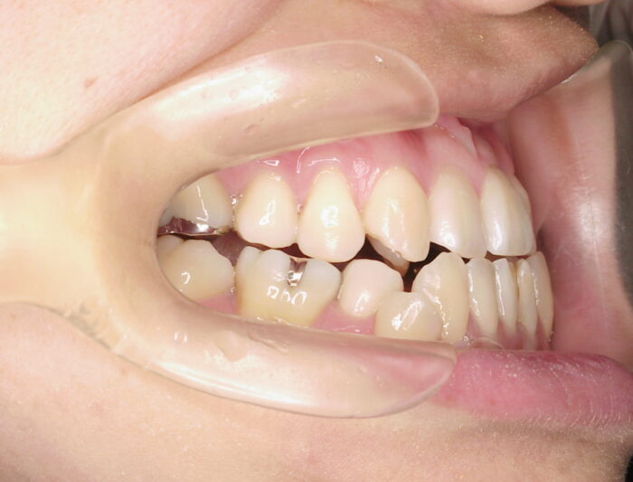
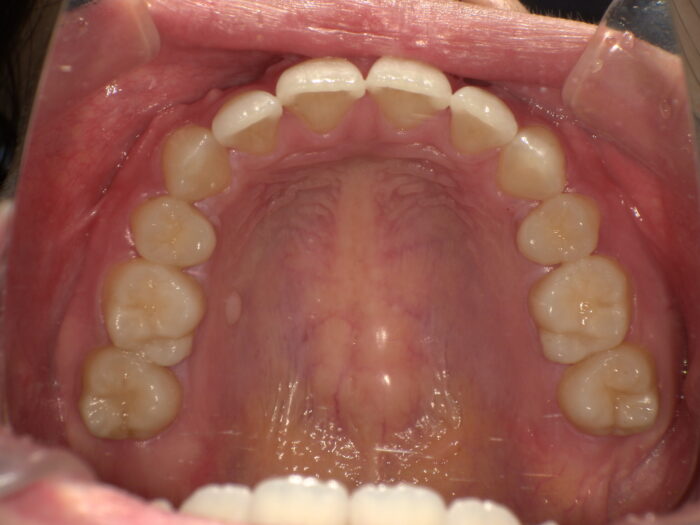
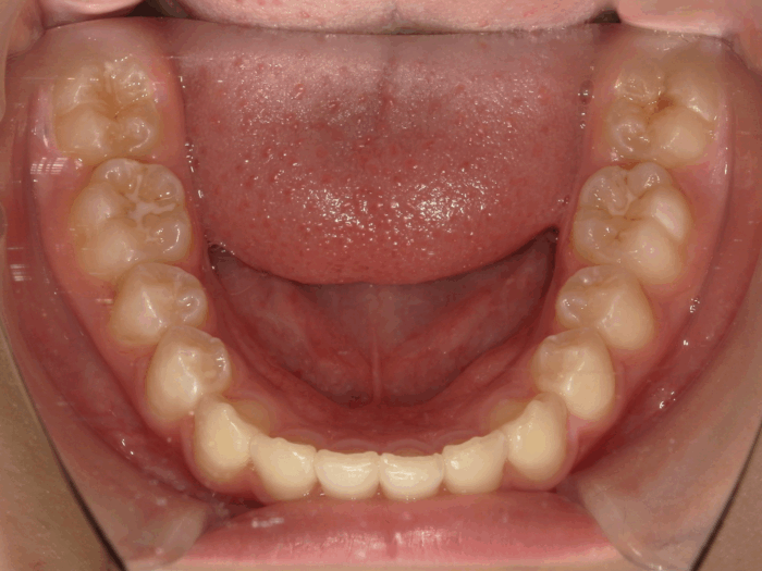
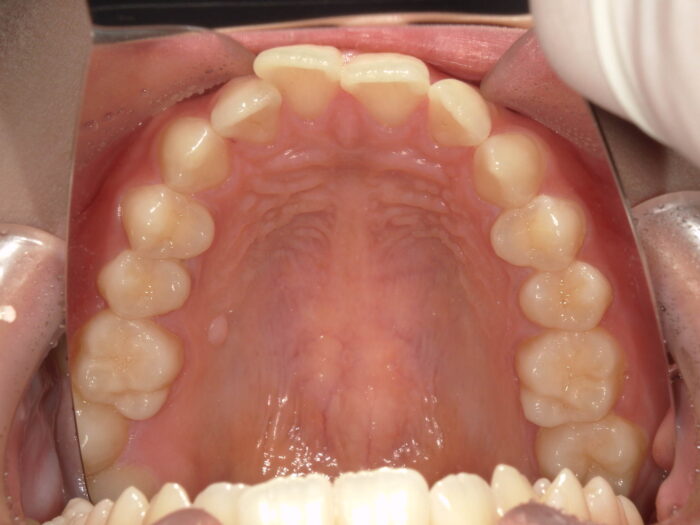
歯並びのガタガタと下顎が出ていることを気にして来院された患者様です。上顎左右の第一小臼歯、下顎左側第一小臼歯(合計3本)を抜歯し、ワイヤー矯正と外科矯正で歯並びと口元の印象を改善しました。

①主訴:歯並びのガタガタと下顎の突出感
②診断名:叢生・下顎前突
③初診時年齢:30歳・女性
④住まい:埼玉県さいたま市
⑤治療に用いた主な装置:ワイヤー矯正
⑥抜歯部位:上顎左右第一小臼歯・下顎左側第一小臼歯
⑦治療期間:術前矯正1年半・術後矯正1年
⑧治療費概算:¥300,000(税別)外科矯正は高額療養費の対象です。
⑨リスクと副作用:全身麻酔の合併症、術後の痛み、腫れ、一時的な麻酔や知覚過敏、口が開きにくい、感染症、神経の損傷

症例の詳細はこちら

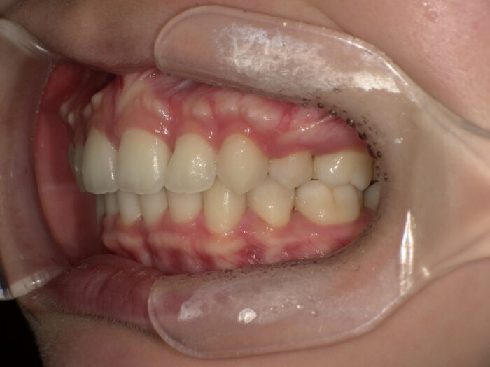
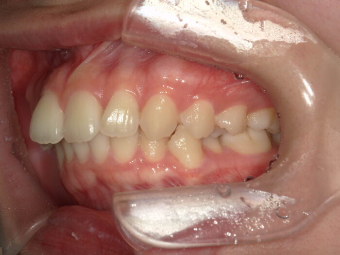
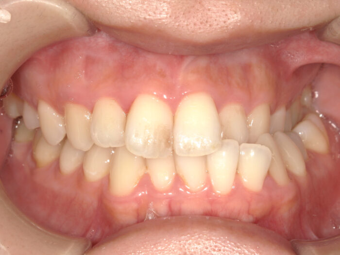
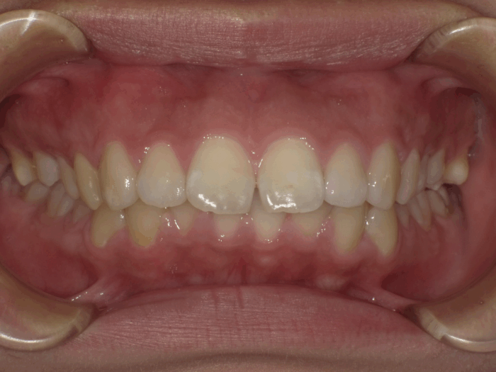
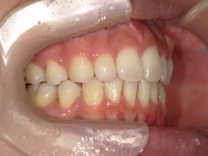
CASE 1

上顎前突(出っ歯)

27歳/女性/治療期間:2年11ヶ月

抜歯 表側矯正
症例の詳細はこちら

プロファイル比較

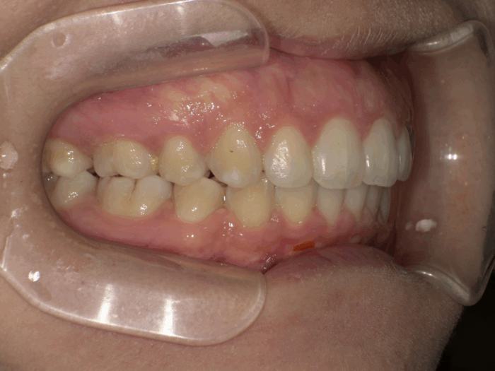
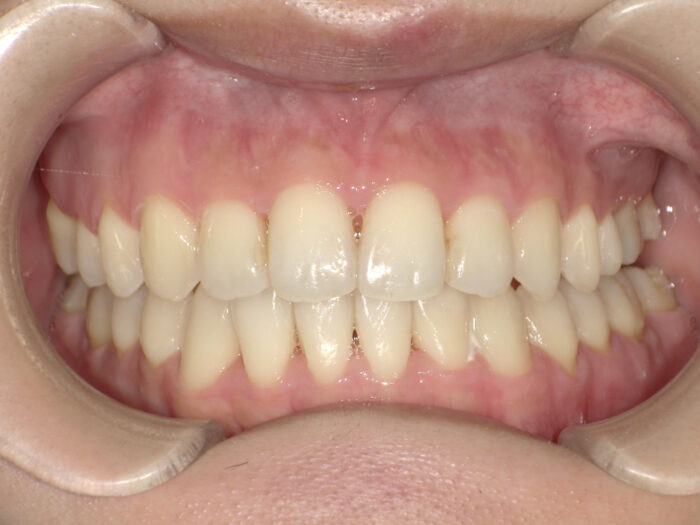
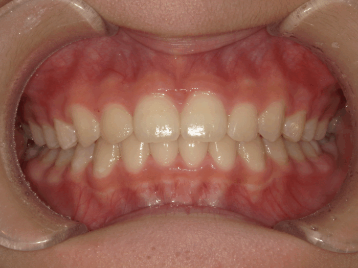
出っ歯と下の歯並びのガタガタを気にして来院されました。上下左右の第一小臼歯(合計4本)を抜歯し、ワイヤー矯正で歯並びと口元の印象を改善しました。

①主訴:出っ歯が気になる
②診断名:上顎前突
③初診時年齢:27歳・女性
④住まい:埼玉県深谷市
⑤治療に用いた主な装置:ワイヤー矯正
⑥抜歯部位:上下左右第一小臼歯
⑦治療期間:2年9ヶ月
⑧治療費概算:¥840,000(税別)
⑨リスクと副作用:痛み、歯根吸収、歯肉退縮、虫歯、後戻り主訴:出っ歯が気になる

症例の詳細はこちら

初診相談予約 電話 LINE 初診相談とは?
初診相談予約24時間OK 症例を見る LINE予約ご相談OK 初診相談とは?