「歯にブリッジが入っているのですが、歯の矯正はできますか?」
「ブリッジがあるけど、矯正はもう無理ですよね…?」
そう感じている方はとても多いです。
過去に治療を受けているからこそ、今さら歯を動かすなんて難しいと思ってしまいますよね。
しかし実際は、ブリッジがあってもほとんどの場合、矯正できます。重要なのは、ブリッジの位置や支台歯の状態、そして矯正の目的です。
本記事では、実際の症例を交えながら、できる場合・難しい場合の違いをわかりやすく解説します。
目次
ブリッジとは?矯正との関係とは?
ブリッジは、失った歯を補うために両隣の歯を削り、人工の歯を橋のように固定する治療法です。
固定式で噛み心地が自然な一方、支台歯(支える歯)が動かない構造のため、矯正で歯を動かす際には注意が必要です。
ただし、ブリッジの部位や状態によっては、矯正が十分に可能なこともあります。

ブリッジがあってもそのまま矯正できる場合とできない場合

ブリッジがあっても、ほとんどの場合矯正治療が可能です。
支台歯(ブリッジを支えている歯)が健康でしっかりしていれば、ブリッジを残したまま装置をつけて治療できます。
一方で、支台歯に強い動揺がある場合や、過去に根の治療を繰り返している場合は、一度ブリッジを外して新しく作り直す必要があるかもしれません。
とはいえ、矯正そのものができないというわけではなく、状態に合わせた治療方法を選ぶことで対応できる可能性が高いです。
症例紹介①ブリッジを残したまま矯正を行ったケース
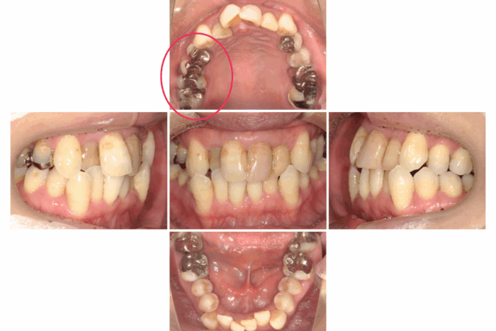
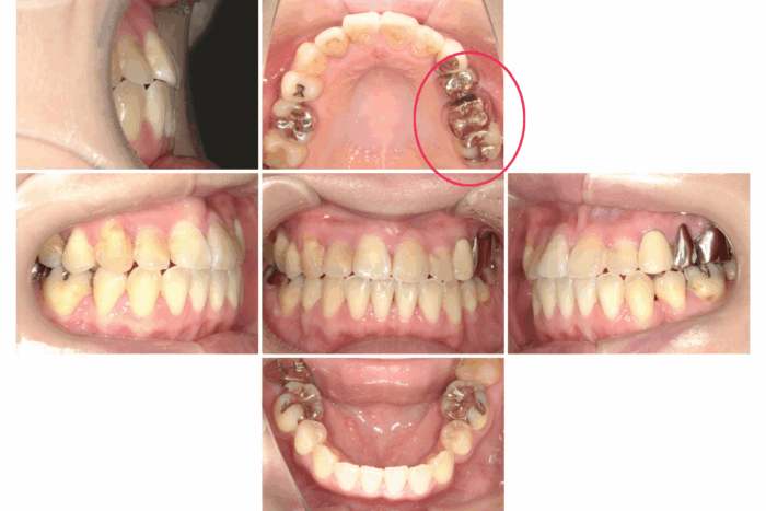
患者さま:40代女性/右上4・5・6番にメタルブリッジ
主訴:歯並びのガタガタが気になる


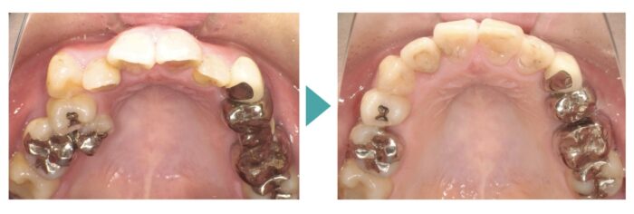
年齢と銀歯がたくさん入っているので、矯正できるか気にされていました。ブリッジの部分の歯根状態に問題がなかったのでブリッジはそのまま、マウスピース矯正装置(インビザライン)で矯正治療を行いました。
歯並びの矯正が終わり、整った口元になったことで、今度は銀歯が少し気になるようになったそうです。せっかく綺麗になった歯並びをより自然に見せたいとのことで、今後は少しずつセラミックの白い歯に置き換えていく予定です。


- 【症例詳細】
- 主訴:ガタガタが気になる
- 診断名:叢生
- 初診時年齢:49歳
- 使用装置:マウスピース矯正装置(インビザライン)
- 抜歯部位:なし
- 治療期間:1年2ヶ月
- 費用:¥865,000(税込¥951,500)
- リスク・副作用:痛み、歯根吸収、歯肉退縮、むし歯、後戻り
症例紹介②ブリッジを分割して矯正を行ったケース

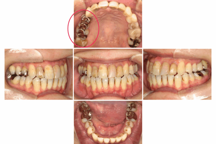
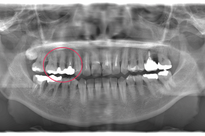
患者さま:30代女性/左上4・5・6番にメタルブリッジ
主訴:歯のガタつき・かみ合わせが反対

矯正治療のために上下左右4本抜歯する必要がありました。そのため、抜歯する歯のうち1本は、ブリッジを分割しポンティック部分(ブリッジの真ん中の人工歯のこと)を除去して代用しました。ワイヤー矯正で歯並びとかみ合わせを改善しました。


- 【症例詳細】
- 主訴:ガタガタと受け口が気になる
- 診断名:叢生・反対咬合
- 初診時年齢:32歳
- 使用装置:ホワイトワイヤー矯正
- 抜歯部位:上顎右側第二小臼歯、下顎右側第二小臼歯、下顎左側第一小臼歯
- 治療期間:2年7ヶ月
- 費用:¥750,000(税込¥825,000)
- リスク・副作用:痛み、歯根吸収、歯肉退縮、むし歯、後戻り
※矯正歯科治療は公的健康保険の適用外の自費診療となります。治療法や結果には個人差があります。
ブリッジがあっても矯正は諦めないで
ブリッジがあるからといって、矯正を諦める必要はありません。矯正の目的やブリッジの状態をしっかり確認すれば、あなたに合った治療方法を見つけることができます。
失った歯を補う治療(補綴(ほてつ))と矯正治療、それぞれの専門医の連携の元で治療することで、見た目と機能の両方を改善できる可能性があります。
「ブリッジがあるけど矯正できるか知りたい」方は、一度ご相談ください。
実際にお口の中の状態を拝見して、あなたの歯の状態に適した方法をご提案いたします。


