透明で目立たない矯正装置として人気のマウスピース矯正装置。けれど「思ったより動かない」「歯が並ばない」という声も。
今回は、実際にマウスピースからワイヤー矯正に変更し、満足のいく結果につながった症例をもとに、「なぜ変更が必要になったのか?」「どんな対応ができるのか?」を詳しく解説します。
目次
マウスピース矯正装置(インビザライン)が効かないと感じるケース
症例を紹介する前に、そもそもマウスピースによる矯正が向いていない人、歯並びがあります。
治療が進まない・歯が動かないと感じる原因
マウスピース型の矯正装置は、ワイヤー矯正と違い歯に固定されていないため、患者さまの協力度が治療の成功に直結します。
1日20時間以上の装着が難しい
マウスピースをつけていない時間が長いと歯が計画通りに動きません。「食事と歯磨きのとき以外は、ずっとつける」くらいの意識が大切です。
食事の回数が多かったり仕事の都合で、装置を長時間つけられない人は、治療が予定通り進みにくくなります。
正しい装置の付け方が苦手
歯にしっかり奥までフィットさせ、チューイー(咬み込み補助)を使って浮きをなくす、といった装着方法が守れないと、治療期間が延びたりマウスピースの作り直しが必要になることがあります。
通院やドクターの指示を守るのが難しい
「1週間ごと」や「10日ごと」など、指示通りに交換しましょう。
早く替えすぎたり、交換を忘れたりすると、治療が進まなくなってしまいます。
また、装置の紛失や破損、不衛生なマウスピースを装着することもトラブルの原因になります。このような装置を管理する自信のない方は、マウスピースでの矯正は向いていないかも知れません。
マウスピースでの治療が難しい歯並び
歯並びはガタガタしていないが抜歯が必要な歯並び
抜歯して抜いた歯のスペースを閉じる必要がある場合、歯が重なっていた方が閉じるスペースが短くてすみます。その逆で、凸凹が少ない歯並びは、閉じる隙間が広く歯の移動距離が長くなるため、マウスピースだけでは計画通りに動きにくいことがあります。
とくに奥歯を前に動かしたり、前歯を大きく後ろへ下げる必要がある場合は、ワイヤー矯正の方が安定した結果を得やすいです。

かみ合わせが深い歯並び
上の前歯が前に出ていて、さらに下の歯を深く覆い隠している、過蓋咬合(かがいこうごう)と呼ばれるかみ合わせです。
前歯を下げたりかみ合わせを浅くする動きが、マウスピースだけでは難しいことがあります。

口元全体が前に出ているタイプ
上下の前歯が全体的に前に出ており、いわゆる「口ゴボ」と呼ばれる口元の場合、歯を後ろへ下げるために抜歯が必要になることが多く、歯の移動距離が長くなる傾向があります。
マウスピースで矯正できる場合はありますが、仕上がりの口元や横顔のバランスをしっかり整えるために、ワイヤー矯正を併用するケースが多いです。

外科手術が必要な歯並び
不正咬合の原因が下あごや上あごの骨格のズレによる場合などは、外科手術を伴う矯正治療(オペ矯正)が必要になることがあります。
このような症例では、手術前後で歯を正確に動かすため、ワイヤー矯正が基本となり、マウスピース単独では難しいのが一般的です。

ワイヤー矯正への変更が必要になるのはどんなとき?
マウスピースの使用時間や使い方が守られていても、治療の進行状況が良くない場合、ワイヤー矯正に変更になることがあります。
使用時間や方法を守っていても、マウスピースが合わなくなる場合(アンフィット)
歯の動きに個人差があるため、マウスピースが浮いたり隙間ができる「アンフィット」という状態になることがあります。
軽度なら追加のマウスピースで対応できる場合もありますが、大きなズレが出た場合は、ワイヤー矯正で歯の動きを再調整する方がスムーズなこともあります。

抜歯をしてスペースを閉じる治療中に、歯が傾いてしまった場合
抜歯したスペースを閉じる過程で、予想外に歯が内側や外側に傾きながら動いてしまうことがあります。このような場合は、マウスピースだけではコントロールが難しく、ワイヤー矯正で補正することで確実なゴールを目指します。
実際の症例紹介
当院で行った、マウスピースからワイヤー矯正に変更して歯並びが改善した症例を紹介します。
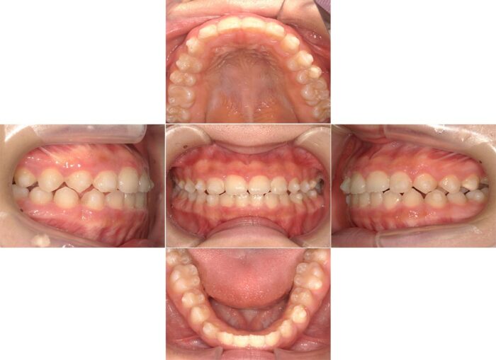
マウスピースから全体ワイヤー矯正に変更した症例

出っ歯とすきっ歯の改善を希望されて相談にいらした患者さまです。口元の突出感が気になるとのことだったので、抜歯矯正をお勧めしましたが、患者さまのご希望で歯を抜かずに治療を開始しました。
治療を始めてから半年が経過したころ、患者さまからご相談があり治療方法を変更することになりました。
やっぱり口元が気になるので歯を抜きたいです
先ほどご紹介したように、ガタガタのない歯列の歯を抜く場合、隙間を閉じるための歯の移動距離が長く、マウスピース単独だと治療に時間がかかる症例です。
隙間が閉じるまでワイヤー矯正で進め、隙間が閉じたらマウスピースに戻ってかみ合わせを調整する方針で治療を再スタートしました。


矯正治療で歯を抜くか抜かないか迷っている方へ、歯を抜く決心がついた時は早めに教えてくださいね!
歯を抜いたことで横顔の変化が大きく、気にされていた口元の突出が解消されました。

食事(特に給食)のたびにマウスピースを外すことが負担だったそうで、結局マウスピースに変更せず、最後までワイヤーで治療を行いました。
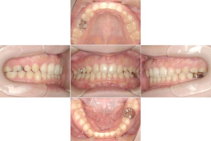
【マウスピースから全体ワイヤー矯正に変更した症例詳細】

- 主訴:口元の突出
- 診断名:上下顎前突
- 初診時年齢:12歳・女性
- 使用装置:マウスピース矯正装置(インビザライン)、表側ワイヤー矯正
- 抜歯部位:上下左右第一小臼歯
- 治療期間:2年10ヶ月
- 費用:865,000円(税込951,500円)
- リスクと副作用:痛み、歯根吸収、歯肉退縮、むし歯、後戻り
マウスピースと部分的にワイヤー矯正を併用した症例
部分的にワイヤー矯正をつけてマウスピースとワイヤー矯正を併用して治療を進めることもあります。

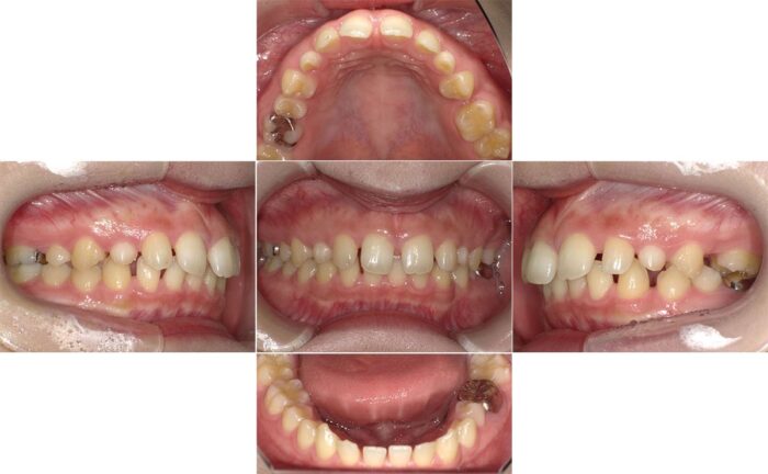
前歯のすきっ歯の改善と目立たない矯正装置を希望され、マウスピース矯正装置(インビザライン)で治療を始めました。ところが、治療開始5ヶ月を過ぎた頃から、大学生になり環境の変化で、通院間隔が9ヶ月間も空いてしまいました。
そのため、マウスピースが合わなくなってしまい、ワイヤー矯正へ変更の提案をしましたが、目立つ装置は避けたいということで奥歯だけワイヤー矯正をつけて補正することになりました。

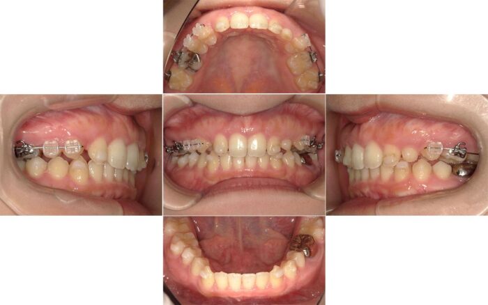
7ヶ月間、装置を併用した治療を行い、その後マウスピースのみで細かい微調整とかみ合わせの調整を行いました。通院間隔が空いてしまったこと以外は問題なく治療が進み、すきっ歯が改善されました。

【症例詳細】
- 主訴:すきっ歯が気になる
- 診断名:空隙歯列・過蓋咬合
- 初診時年齢:17歳・女性
- 使用装置:マウスピース矯正装置(インビザライン)・表側ワイヤー矯正
- 抜歯部位:上顎左右犬歯・上顎左側第二小臼歯(欠損)、上顎右側乳犬歯
- 治療期間:3年6ヵ月
- 費用:865,000円(税込951,500円)
- リスクと副作用:痛み、歯根吸収、歯肉退縮、むし歯、後戻り
マウスピースからワイヤー矯正に変更する時の注意点
マウスピースからワイヤー矯正へ切り替わると、これまでの装置と違う点がいくつかあります。
快適に過ごしながら治療を進めていただくために、次のポイントにご注意ください。
食べ物の選び方に注意
ワイヤーやブラケット(歯につける小さな装置)は、硬いものや粘着性のある食べ物で外れたり変形することがあります。
- おせんべい・氷・硬いナッツなどは避ける
- キャラメル・ガム・お餅など粘着性の強いものは控える
装置が外れると治療が遅れる原因になるので、特に食事の際はご注意ください。
ワイヤー矯正中の食事について詳しくはこちら
歯磨きは鏡を見ながら丁寧に
ワイヤーやブラケットの周りには食べカスや汚れが残りやすく、そのままにしておくと、むし歯や歯ぐきの腫れの原因となります。
- 鏡を見ながら一本ずつ丁寧に磨く
- ワンタフトブラシやフロスも活用する
毎日のケアが、治療をスムーズに進める大切なポイントです。
ワイヤー調整後の痛みについて
ワイヤーを調整した後は、歯が動き始める刺激で3日〜1週間ほど痛みや違和感を感じることがあります。
- 痛みは時間とともに落ち着きます
- 必要であれば、市販の痛み止めを飲んでも大丈夫です
もし強い痛み(装置が当たる、ワイヤーが刺さる)がある場合は、無理せずご連絡ください。
まとめ:マウスピースが合わないと感じたら早めに相談を
マウスピースで思うように歯が動かない、または、マウスピース矯正装置がライフスタイルに合っていないと感じたら、早めの対応が肝心です。
自己判断で放置せず、まずは担当医に相談しましょう。「目立たない」だけではなく「確実に治す」選択も重要です。
当院では、途中で装置の見直しや治療方法の再設計も柔軟に行っております。まずはお気軽にご相談ください。


