子どもの矯正治療を検討している保護者の方から、よくこんなご質問をいただきます。
- 「一期治療をすれば矯正は終わりますか?」
- 「結局二期治療も必要になるなら、最初から二期治療だけでいいのでは?」
- 「一期治療の意味はあるのでしょうか?」
今回は、実際に一期治療と二期治療の両方を行った男の子の症例を交えながら、
これらの疑問に一つずつお答えしていきます。
目次
一期治療と二期治療の基本的な違い
一期治療とは
一期治療は、乳歯と永久歯が混在する成長期(混合歯列期)に行う矯正治療です。
歯をきれいに並べることよりも、顎の成長をコントロールし、将来の歯並びの土台を整えることが目的です。
二期治療とは
二期治療は、永久歯が生えそろった後に行う矯正治療です。
歯を一本一本適切な位置に動かし、噛み合わせと見た目を最終的に仕上げます。
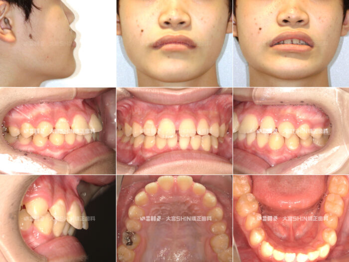
症例紹介|一期と二期治療を行った男の子
初診時
出っ歯を気にされており、お子さま自ら「矯正がしたい」とご相談にいらした患者さまです。
上と下の歯(あご)が前後にズレてかみ合っている状態(アングルの2級1類)で、成長期のうちに適切な対応をせず放置すると、
- 出っ歯が強くなる
- 前歯をケガしやすい
- 将来の矯正治療が大きくなる
といったデメリットがあります。
一方で、成長を利用できる時期に治療を行うことで、将来の負担を減らせるケースも多くあるため、この時点で、成長を利用した一期治療が有効と判断しました。

【一期治療詳細】
主訴:出っ歯が気になる
診断名:上顎前突
初診時年齢:10歳
治療装置:バイオネーター
抜歯部位:なし
治療期間:2年
費用:¥440,000(税込)
リスクと副作用:痛み、歯根吸収、歯肉退縮、虫歯、後戻り
約2年間、バイオネーターという成長期のお子さんのあごのバランスを整えるための矯正装置を装着して治療を行いました。
バイオネーターは、「歯をきれいに並べる装置」ではなく、将来きれいに並べやすくするための“土台づくり”の装置です。
適切な時期に使うことで、将来の矯正治療の負担を軽くできる可能性があります。条件が良ければ、二期治療が不要になることもありますが、多くの場合は、成長後に仕上げの矯正が必要になります。

なぜこの症例では二期治療が必要だったのか

この男の子の場合、一期治療によって、上下顎の位置関係は改善できましたが、永久歯が生えそろった段階で、かみ合わせのズレが残りました。
一期治療は歯を並べきる治療ではないため、最終的な仕上げとして二期治療が必要になったのです。
二期治療を行ったことで、上下のかみ合わせも隙間があった歯並びも改善されました。

【二期治療詳細】
主訴:出っ歯が気になる
診断名:上顎前突・正中離開・空隙歯列
初診時年齢・性別:13歳・男性
治療装置:表側矯正装置(ワイヤー)
抜歯部位:なし
治療期間:2年11ヶ月
治療費概算:¥420,000(税別)
一期治療だけで終わるケースもある
まず大前提として、一期治療だけで矯正が完了するお子さんもいます。
- 顎の成長が理想的に進んだ
- 永久歯がきれいな位置に生えそろった
- かみ合わせのズレがほとんどない
このような場合は、二期治療を行わず経過観察で済むこともあります。
「最初から二期治療だけでいいのでは?」という疑問
この疑問はとても自然ですが、答えは「症例によってはNO」です。
もし一期治療を行わず、成長を待ってから二期治療を始めていた場合、
- 抜歯が必要になっていた可能性
- 矯正期間が長くなっていた可能性
が考えられます。一期治療は、将来の選択肢を広げるための治療なのです。
一期治療のメリット
一期治療には、次のような大きなメリットがあります。
- 顎の成長を利用できる
- 永久歯を抜かずに済む可能性が高まる
- 二期治療が短期間で済む
- かみ合わせや口腔機能の改善につながる
この症例でも、一期治療を行ったことで抜歯を回避し、比較的スムーズに二期治療へ移行できました。
一期治療でやめてしまうことのデメリット
「一期治療をやったからもう大丈夫」と自己判断で治療を終えてしまうと、
- 永久歯が生えそろった後に歯並びが崩れる
- 噛み合わせの問題が残る
- 結果的に再治療が必要になる
といったリスクがあります。
一期治療はゴールではなく通過点であることを理解することが重要です。
まとめ
子どもの矯正治療は、
- 一期治療だけで終わる場合もある
- しかし症例によっては二期治療が必要
というのが現実です。
一期治療の目的は、将来の歯並びを良くするための準備。そして二期治療は、その準備を活かして仕上げを行う治療です。
大切なのは、「一期で終わるかどうか」ではなくお子さまにとって適切なタイミングと治療計画を選ぶことです。


