目次
歯列矯正における抜歯の目的
歯の矯正で抜歯が必要になる場合があります。歯列矯正おける抜歯は、単に健康な歯を取り除くことではなく、治療の一環として重要な役割を果たします。
矯正治療の目的は、歯並びを整え、かみ合わせを改善することです。特に、顎の大きさに対して歯が過密している場合はバランスを調整するためにはスペースを確保する必要があります。
抜歯を行うことで、他の歯を適切な位置に移動させるスペースが作られ、歯列全体の調和が取れるのです。これは、歯並びの改善だけでなく、顔のバランスや口元の見た目にもよい影響を与えます。

通常抜く歯は小臼歯が多いが、前歯や奥歯を抜く場合もある
矯正歯科医は治療計画を立てる際に、レントゲンやCT画像を基にどの歯を抜くかを決定します。小臼歯(第一小臼歯や第二小臼歯)を抜くことが多いのは、主に以下の理由からです。
①歯列の中間に位置:小臼歯は前歯と奥歯の中間に位置するため、抜歯によって得られるスペースを前後の歯に均等に配分しやすく、歯列全体の移動が効率的になります。


②機能への影響が少ない:小臼歯は前歯や犬歯、奥歯と比べてかみ合わせや咀嚼機能への影響が少ないため、抜歯しても他の歯に影響を与えにくいからです。
③抜きやすい:小臼歯は歯根の形状が複雑ではないため、他の歯に比べて抜歯しやすいと言われています。

とはいえ、状態が良くない歯や、治療済みの歯(大きな銀歯が入っているなど)、矮小歯(形が小さく、他の歯とのバランスが悪い歯)がある場合は、第一小臼歯や第二小臼歯ではなく、前歯や奥歯を抜くこともあります。
前歯を抜く場合はどんな時?
①前歯の状態が良くない
状態が良くない歯とは、人工歯が被せてある歯、歯根が短かかったり、神経がなく変色してしまった歯などのことを言います。歯列矯正で抜歯が必要な場合は、当院ではそのような歯を積極的に抜歯して治療を行います。
②矮小歯(わいしょうし)
矮小歯とは、通常の歯よりも小さく、発育が不完全な歯のことを指します。歯列全体を整えるためのスペースを確保と見た目のバランスを整えるために矮小歯を抜くことがあります。
③歯根の状態
歯が歯茎に埋まっている、逆に歯が歯茎から出過ぎている(歯根が不自然に露出している)場合、その状態のよくない歯を抜歯することがあります。
前歯を抜く場合のメリット・デメリット
メリット
①健康な歯を残せる
神経がない歯や変色してしまっている歯を積極的に抜歯するので、健康な歯を残すことができます。
②より美しい歯並びになる
状態の良くない中切歯(正面の歯)を抜歯した場合は、隣の歯を真ん中に寄せて歯並びを揃えていきます。最終的には歯の大きさを揃えるために、歯にラミネートを被せたり補綴物を作り直すので、歯並びと同時に美しい歯も手に入れることができます。
デメリット
前歯がなくなることに抵抗を感じる方が多いのではないでしょうか。治療中、抜いた歯の隙間はダミー歯を装着したりマウスピースを白く塗装したりして見た目の違和感がないように対策します。しかし、歯が動く過程で一時的に歯並びが不安定になることがあるため、見た目に変化が出ることがあります。

実際に前歯を抜いた症例紹介
実際に前歯を抜いた症例をご紹介します。
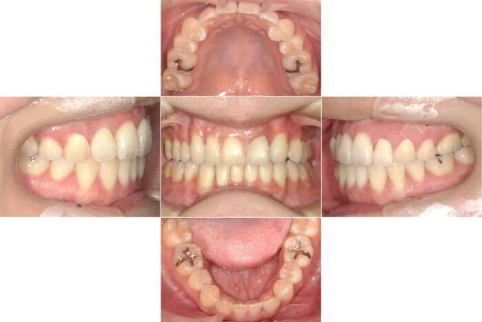
症例1: 上顎左側中切歯を抜いたケース


出っ歯が主訴で歯列矯正を希望された患者さまです。出っ歯を改善するために4本歯を抜く必要がありました。
上顎の左の前歯の神経がなく変色していたので、4本のうち1本はその歯を、残りの3本は第一小臼歯を抜歯し、歯を並べるスペースを確保し、マウスピース矯正装置(インビザライン)で治療していきました。

前歯を抜いたスペースは隣の側切歯を中心に移動させて閉じていきました。最終的には、矯正の動的治療終了後(歯を動かし終わった後)に、側切歯に補綴物を被せて左右の歯の大きさを揃えました。


症例2: 上顎左右犬歯(八重歯)を抜いたケース


八重歯を気にして来院された患者さまです。通常、八重歯である犬歯は他の歯と比べて歯根が長く、安定した位置にあることが多いため、抜歯しない方が良いとされています。
八重歯の矯正ついてはこちら
しかし、この患者さまの八重歯は歯茎から飛び出しており、歯根が露出した状態だったので、このまま歯を移動させても抜けてしまう恐れがあったため八重歯を抜歯して治療をする選択をしました。


まとめ
歯列矯正で前歯を抜くこともあります。前歯の抜歯に不安に感じる方は多いかもしれませんが、治療後には見た目やかみ合わせが大きく改善されます。
矯正治療で抜歯が必要な場合は、どの歯を抜くかは歯科医師としっかりと相談し、自分に適した治療計画を立ててもらい、納得してから治療を始めましょう。


