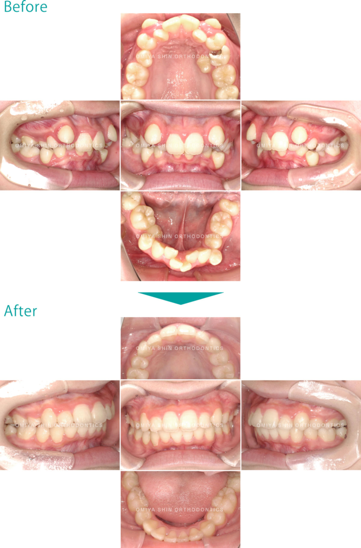
叢生(ガタガタ)
39歳/男性/治療期間:3年4ヶ月

ガタガタなことを気にして来院された患者様です。非抜歯で、IPR(上下の歯をヤスリがけ)して、マウスピース型矯正装置(インビザライン)を使用し、ガタガタと咬み合わせを改善しました。
主訴:ガタガタが気になる
診断名:叢生
初診時年齢・性別:39歳・男性
治療装置:マウスピース型矯正装置(インビザライン)
抜歯or非抜歯:非抜歯
治療期間:3年4ヶ月

叢生(ガタガタ)
33歳/男性/治療期間:3年1ヶ月

ガタガタなことを気にして来院された患者様です。非抜歯で、IPR(上下の歯をヤスリがけ)して、マウスピース型矯正装置(インビザライン)を使用し、ガタガタと咬み合わせを改善しました。
主訴:ガタガタが気になる
診断名:叢生
初診時年齢・性別:33歳・男性
治療装置:マウスピース型矯正装置(インビザライン)
抜歯or非抜歯:非抜歯
治療期間:3年1ヶ月

叢生(ガタガタ)、空隙歯列(正中離開、すきっ歯)
12歳/女の子/治療期間:1年6ヶ月

前歯の隙間を気にして来院された患者様です。非抜歯で、取り外し式矯正装置(拡大床)を使用し、永久歯を並べるためのスペースを確保した後、ワイヤーを使用して前歯の隙間とガタガタを改善しました。
主訴:前歯の隙間が気になる
診断名:叢生・正中離開
初診時年齢・性別12歳・女の子
治療装置:拡大床・ワイヤー
抜歯or非抜歯:非抜歯
治療期間:1年6ヶ月

叢生(ガタガタ)、上顎前突(出っ歯)
21歳/男性/治療期間:1年7ヶ月

ガタガタと出っ歯を気にして来院された患者様です。抜歯(上下左右第一小臼歯)で、表側矯正(ワイヤー)を使用して、ガタガタと咬み合わせを改善しました。
主訴:ガタガタと出っ歯が気になる
診断名:上顎前突・叢生
初診時年齢・性別:21歳・男性
治療装置:表側矯正(ワイヤー)
抜歯or非抜歯:抜歯(上下左右第一小臼歯)
治療期間:1年7ヶ月

叢生(ガタガタ)
24歳/女性/治療期間:1年11ヶ月

ガタガタなことを気にして来院された患者様です。非抜歯で、IPR(上下の歯をヤスリがけ)して、マウスピース型矯正装置(インビザライン)を使用し、ガタガタと咬み合わせを改善しました。
主訴:ガタガタが気になる
診断名:叢生
初診時年齢・性別:24歳・女性
治療装置:マウスピース型矯正装置(インビザライン)
抜歯or非抜歯:非抜歯
治療期間:1年11ヶ月

叢生(ガタガタ)
20歳/女性/治療期間:2年4ヶ月

ガタガタなことを気にして来院された患者様です。非抜歯で、IPR(上下の歯をヤスリがけ)して、マウスピース型矯正装置(インビザライン)を使用し、ガタガタと咬み合わせを改善しました。
主訴:ガタガタが気になる
診断名:叢生
初診時年齢・性別:20歳・女性
治療装置:マウスピース型矯正装置(インビザライン)
抜歯or非抜歯:非抜歯
治療期間:2年4ヶ月

叢生(ガタガタ)
7歳/男の子/治療期間:2年5ヶ月

ガタガタなことを気にして来院された患者様です。非抜歯で、取り外し式矯正装置(拡大床)を使用し、永久歯を並べるためのスペースを確保した後、ワイヤーを使用してガタガタを改善しました。
主訴:ガタガタ
診断名:叢生
初診時年齢・性別:7歳・男の子
治療装置:拡大床・ワイヤー
抜歯or非抜歯:非抜歯
治療期間:2年5ヶ月

叢生(ガタガタ)
24歳/女性/治療期間:2年6ヶ月

ガタガタなことを気にして来院された患者様です。抜歯(上顎右側第一小臼歯、上顎左側側切歯、下顎左右第一小臼歯)で、表側矯正(ワイヤー)を使用し、ガタガタと咬み合わせを改善しました。
主訴:ガタガタが気になる
診断名:叢生
初診時年齢・性別:24歳・女性
治療装置:表側矯正(ワイヤー)
抜歯or非抜歯:抜歯(上顎右側第一小臼歯、上顎左側側切歯、下顎左右第一小臼歯)
治療期間:2年6ヶ月

叢生(ガタガタ)
47歳/女性/治療期間:1年11ヶ月

ガタガタなことを気にして来院された患者様です。抜歯(上顎左右第一小臼歯、下顎左側中切歯)をして、IPR(上下の歯をヤスリがけ)を行い、マウスピース型矯正装置(インビザライン)を使用し、ガタガタと咬み合わせを改善しました。
主訴:ガタガタ
診断名:叢生
初診時年齢・性別:47歳・女性
治療装置:マウスピース型矯正装置(インビザライン)
抜歯箇所:上顎左右第一小臼歯・下顎左側中切歯
治療期間:1年11ヶ月
費用:92万円
リスクと副作用:痛み、歯根吸収、歯肉退縮、虫歯、後戻り

叢生(ガタガタ)、八重歯
16歳/女性/治療期間:1年9ヶ月

八重歯を気にして来院された患者様です。非抜歯で、IPR(上下の歯をヤスリがけ)して、マウスピース型矯正装置(インビザライン)を使用し、ガタガタと咬み合わせを改善しました。
主訴:八重歯
診断名:八重歯・叢生
初診時年齢・性別:16歳・女性
治療装置:マウスピース型矯正装置(インビザライン)
抜歯or非抜歯:非抜歯
治療期間:1年9ヶ月
リスクと副作用:痛み、歯根吸収、歯肉退縮、虫歯、後戻り
費用:89万円程度(税別)
詳細はこちらをご覧ください
