症例検索

歯並びの状態
使用装置
抜歯/非抜歯
年齢
性別

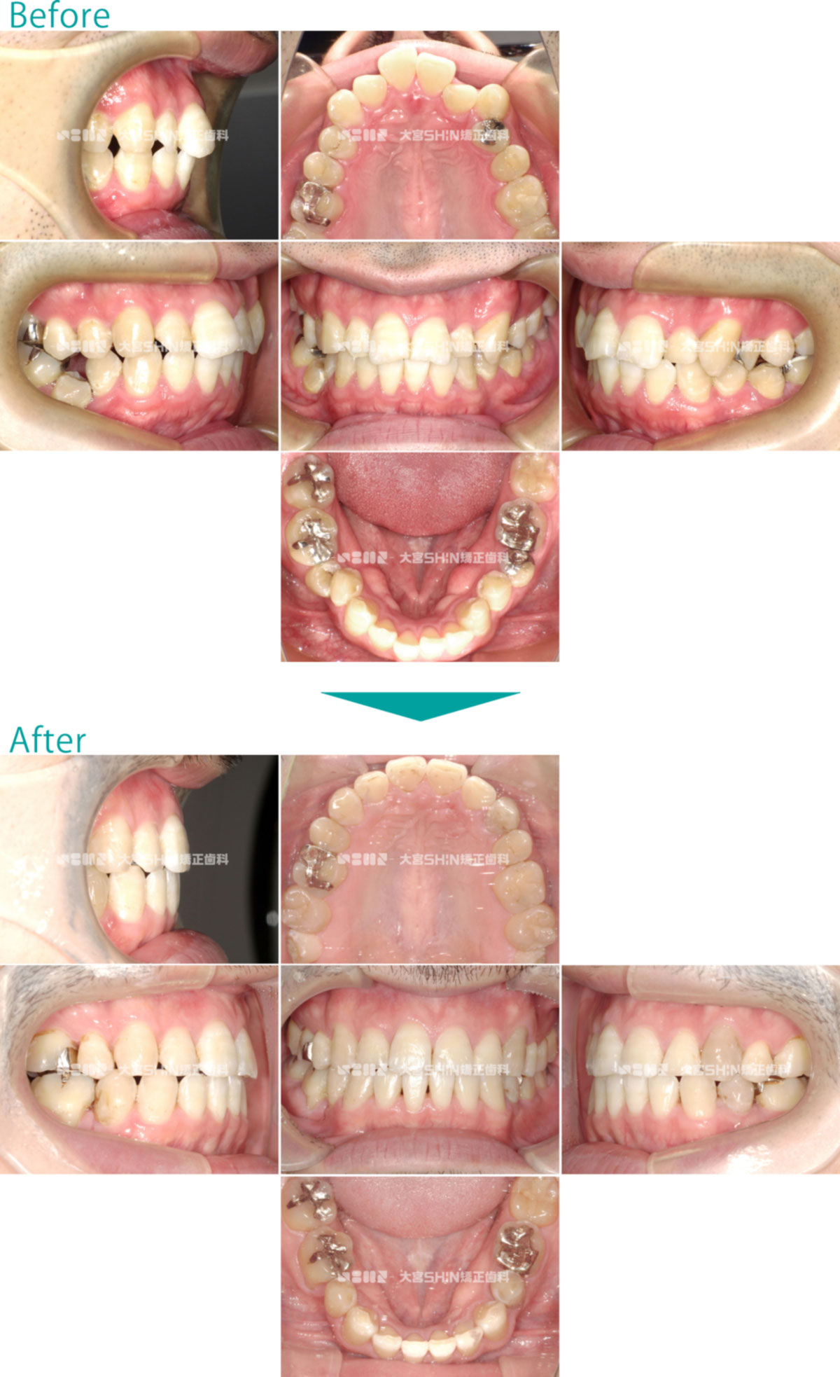
CASE091

空隙歯列(正中離開、すきっ歯)

26歳/男性/治療期間:1年1ヶ月

非抜歯 マウスピース矯正装置(インビザライン)
症例の詳細はこちら

前歯の隙間を気にして来院された患者様です。非抜歯で、IPR上下の歯をヤスリがけ)して、マウスピース型矯正装置インビザライン)を使用し、前歯の隙間咬み合わせを改善しました。

主訴:前歯の隙間が気になる

診断名:正中離開

初診時年齢・性別:26歳・男性

治療装置:マウスピース型矯正装置(インビザライン)

抜歯or非抜歯:非抜歯

治療期間:1年1ヶ月

費用:92万円程度(税別)

詳細はこちらをご覧ください

リスクと副作用:痛み、歯根吸収、歯肉退縮、虫歯、後戻り

症例の詳細はこちら

CASE092

叢生(ガタガタ)

25歳/女性/治療期間:2年2ヶ月

非抜歯 マウスピース矯正装置(インビザライン)
症例の詳細はこちら

ガタガタなことを気にして来院された患者様です。非抜歯で、IPR上下の歯をヤスリがけ)して、マウスピース型矯正装置インビザライン)を使用し、ガタガタ咬み合わせを改善しました。

主訴:ガタガタが気になる

診断名:叢生

初診時年齢・性別:25歳・女性

治療装置:マウスピース型矯正装置(インビザライン)

抜歯or非抜歯:非抜歯

治療期間:2年2ヶ月

費用:92万円程度(税別)

詳細はこちらをご覧ください

リスクと副作用:痛み、歯根吸収、歯肉退縮、虫歯、後戻り

症例の詳細はこちら

CASE093

叢生(ガタガタ)

16歳/女性/治療期間:1年9ヶ月

抜歯 マウスピース矯正装置(インビザライン)
症例の詳細はこちら

ガタガタなことを気にして来院された患者様です。抜歯上顎左側第一小臼歯)で、IPR上下の歯をヤスリがけ)して、マウスピース型矯正装置インビザライン)を使用し、ガタガタ咬み合わせを改善しました。

主訴:ガタガタが気になる

診断名:叢生

初診時年齢・性別:16歳・女性

治療装置:マウスピース型矯正装置(インビザライン)

抜歯or非抜歯:抜歯(上顎左側第一小臼歯)

治療期間:1年9ヶ月

費用:92万円程度(税別)

詳細はこちらをご覧ください

リスクと副作用:痛み、歯根吸収、歯肉退縮、虫歯、後戻り

症例の詳細はこちら

CASE094

叢生(ガタガタ)

21歳/女性/治療期間:1年5ヶ月

非抜歯 マウスピース矯正装置(インビザライン)
症例の詳細はこちら

ガタガタなことを気にして来院された患者様です。非抜歯で、IPR上下の歯をヤスリがけ)して、マウスピース型矯正装置インビザライン)を使用し、ガタガタ咬み合わせを改善しました。

主訴:ガタガタが気になる

診断名:叢生

初診時年齢・性別:21歳・女性

治療装置:マウスピース型矯正装置(インビザライン)

抜歯or非抜歯:非抜歯

治療期間:1年5ヶ月

費用:92万円程度(税別)

詳細はこちらをご覧ください

リスクと副作用:痛み、歯根吸収、歯肉退縮、虫歯、後戻り

症例の詳細はこちら

CASE095

空隙歯列(正中離開、すきっ歯)

17歳/女性/治療期間:6ヶ月

非抜歯 マウスピース矯正装置(インビザライン)
症例の詳細はこちら

前歯のすき間を気にして来院された患者様です。非抜歯で、IPR上下の歯をヤスリがけ)を行い、マウスピース型矯正装置インビザライン)を使用して、前歯のすき間咬み合わせを改善しました。

主訴:前歯のすき間が気になる

診断名:正中離開

初診時年齢・性別:17歳・女性

治療装置:マウスピース型矯正装置(インビザライン)

抜歯or非抜歯:非抜歯

治療期間:6ヶ月

費用:89万円程度(税別)

詳細はこちらをご覧ください

リスクと副作用:痛み、歯根吸収、歯肉退縮、虫歯、後戻り

症例の詳細はこちら

CASE096

開咬(前歯が咬んでいない)

18歳/女性/治療期間:1年3ヶ月

非抜歯 マウスピース矯正装置(インビザライン)
症例の詳細はこちら

前歯が咬んでいないことを気にして来院された患者様です。非抜歯で、IPR上下の歯をヤスリがけ)して、マウスピース型矯正装置インビザライン)を使用し、咬み合わせを改善しました。

主訴:前歯が咬んでいない

診断名:開咬

初診時年齢・性別:18歳・女性

治療装置:マウスピース型矯正装置(インビザライン)

抜歯or非抜歯:非抜歯(下顎前歯部1本欠損)

治療期間:1年3ヶ月

リスクと副作用:痛み、歯根吸収、歯肉退縮、虫歯、後戻り

費用:92万円程度(税別)

詳細はこちらをご覧ください

 

症例の詳細はこちら

CASE097

叢生(ガタガタ)、空隙歯列(正中離開、すきっ歯)

7歳/女の子/治療期間:1年10ヶ月

非抜歯 小児矯正(拡大床)
症例の詳細はこちら

ガタガタ前歯の隙間を気にして来院された患者様です。非抜歯で、取り外し式矯正装置拡大床)を使用し、永久歯が生えるスペースを確保しました。

主訴:ガタガタと前歯のすき間が気になる

診断名:叢生・正中離開

初診時年齢・性別:7歳・女の子

治療装置:拡大床

抜歯or非抜歯:非抜歯

治療期間:1年10ヶ月

リスクと副作用:痛み、歯根吸収、歯肉退縮、虫歯、後戻り

費用:48万円程度(税別)
詳細は
こちらをご覧ください

症例の詳細はこちら

CASE098

叢生(ガタガタ)

25歳/女性/治療期間:1年5ヶ月

抜歯 表側矯正
症例の詳細はこちら

ガタガタなことを気にして来院された患者様です。抜歯上下左右第一小臼歯)で、表側矯正ワイヤー)を使用し、ガタガタ咬み合わせを改善しました。

主訴:ガタガタが気になる

診断名:叢生

初診時年齢・性別:25歳・女性

治療装置:表側矯正(ワイヤー)

抜歯or非抜歯:抜歯(上下左右第一小臼歯)

治療期間:1年5ヶ月

リスクと副作用:痛み、歯根吸収、歯肉退縮、虫歯、後戻り

費用:82万円程度(税別)
詳細は
こちらをご覧ください

症例の詳細はこちら

CASE099

叢生(ガタガタ)

20歳/女性/治療期間:2年10ヶ月

抜歯 表側矯正
症例の詳細はこちら

ガタガタを気にして来院された患者様です。抜歯上下左右第一小臼歯)をして、表側矯正ワイヤー)を使用し、ガタガタ咬み合わせを改善しました。

主訴:ガタガタが気になる

診断名:叢生

初診時年齢・性別:20歳・女性

治療装置:表側矯正(ワイヤー)

抜歯or非抜歯:抜歯(上下左右第一小臼歯)

治療期間:2年10ヶ月

リスクと副作用:痛み、歯根吸収、歯肉退縮、虫歯、後戻り

費用:82万円程度(税別)
詳細は
こちらをご覧ください

症例の詳細はこちら

CASE100

叢生(ガタガタ)

8歳/女の子/治療期間:2年

非抜歯 表側矯正 小児矯正(拡大床)
症例の詳細はこちら

ガタガタを気にして来院された患者様です。非抜歯で、取り外し式矯正装置拡大床)を使用し、永久歯が生えるスペースを確保した後、表側矯正ワイヤー)で、ガタガタを改善しました。

主訴:ガタガタが気になる

診断名:叢生

初診時年齢・性別:8歳・女の子

治療装置:拡大床、表側矯正(ワイヤー)

抜歯or非抜歯:非抜歯

治療期間:2年

リスクと副作用:痛み、歯根吸収、歯肉退縮、虫歯、後戻り

費用:48万円程度(税別)
詳細は
こちらをご覧ください

症例の詳細はこちら

初診相談予約 電話 LINE 初診相談とは?
初診相談予約24時間OK 症例を見る LINE予約ご相談OK 初診相談とは?