叢生(ガタガタ)、過蓋咬合(咬み合わせが深い)、空隙歯列(正中離開、すきっ歯)
8歳/男の子/治療期間:3年3ヶ月

ガタガタを気にして来院された患者様です。非抜歯で、取り外し式矯正装置(拡大床)を使用し、永久歯が生えるスペースを確保した後、表側矯正(ワイヤー)でガタガタを改善しました。
主訴:ガタガタが気になる
診断名:叢生・正中離開・過蓋咬合
初診時年齢・性別:8歳・男の子
治療装置:拡大床、表側矯正(ワイヤー)
抜歯or非抜歯:非抜歯
治療期間:3年3ヶ月
リスクと副作用:痛み、歯根吸収、歯肉退縮、虫歯、後戻り
費用:48万円程度(税別)
詳細はこちらをご覧ください

叢生(ガタガタ)、過蓋咬合(咬み合わせが深い)
8歳/女の子/治療期間:1年7ヶ月

ガタガタを気にして来院された患者様です。非抜歯で、取り外し式矯正装置(拡大床)を使用し、永久歯が生えるスペースを確保した後、表側矯正(ワイヤー)でガタガタを改善しました。
主訴:ガタガタが気になる
診断名:叢生・過蓋咬合
初診時年齢・性別:8歳・女の子
治療装置:拡大床、表側矯正(ワイヤー)
抜歯or非抜歯:非抜歯
治療期間:1年7ヶ月
リスクと副作用:痛み、歯根吸収、歯肉退縮、虫歯、後戻り
費用:48万円程度(税別)
詳細はこちらをご覧ください

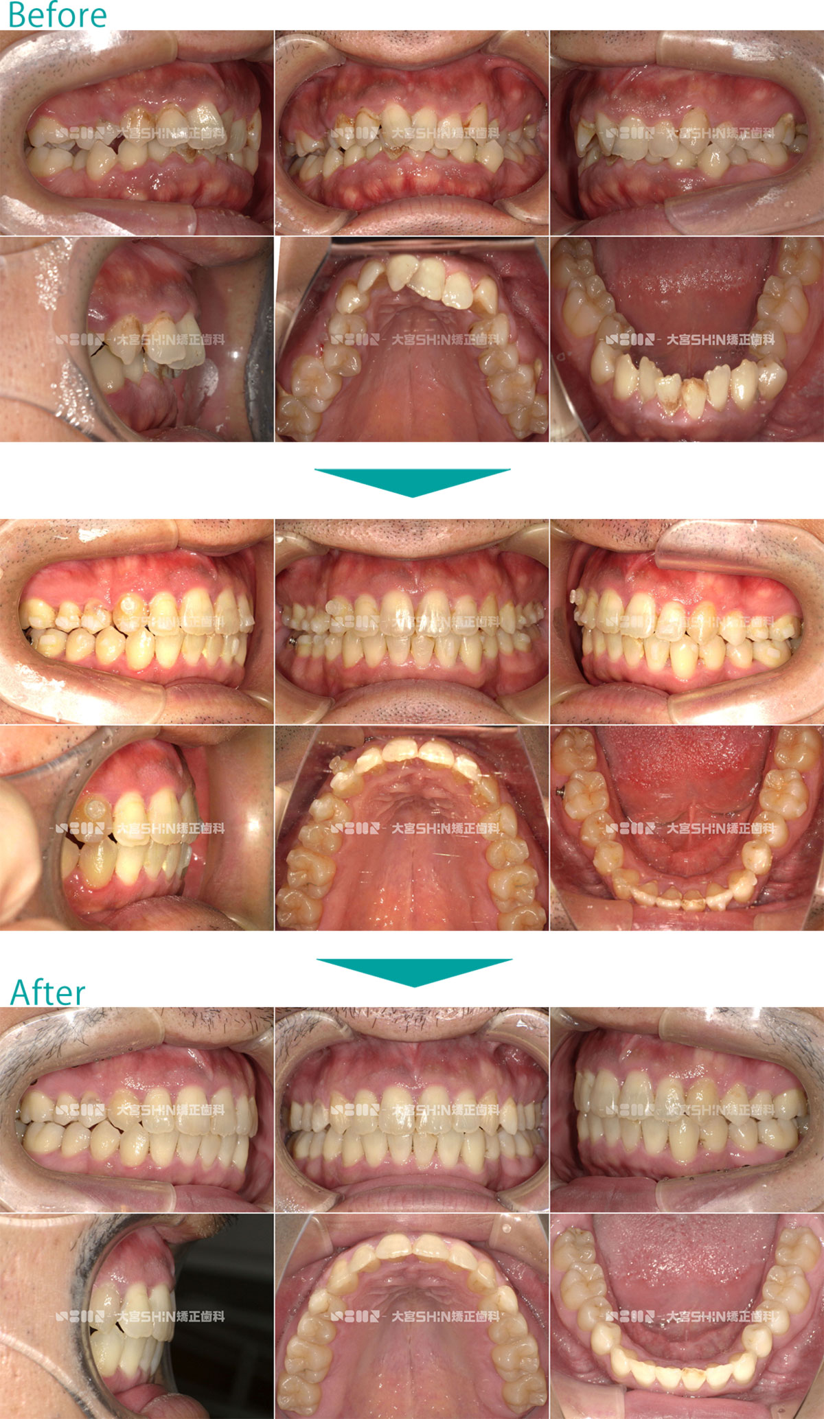
叢生(ガタガタ)、上顎前突(出っ歯)、過蓋咬合(咬み合わせが深い)
28歳/女性/治療期間:2年6ヶ月

出っ歯を気にして来院された患者様です。抜歯(上下左右第一小臼歯)で、表側矯正(ワイヤー)を使用し、ガタガタと咬み合わせを改善しました。
主訴:出っ歯が気になる
診断名:上顎前突・叢生・過蓋咬合
初診時年齢・性別:28歳・女性
治療装置:表側矯正(ワイヤー)
抜歯or非抜歯:抜歯(上下左右第一小臼歯)
治療期間:2年6ヶ月
リスクと副作用:痛み、歯根吸収、歯肉退縮、虫歯、後戻り
費用:86万円程度(税別)
詳細はこちらをご覧ください

上顎前突(出っ歯)、過蓋咬合(咬み合わせが深い)、空隙歯列(正中離開、すきっ歯)
17歳/女性/治療期間:2年7ヶ月

出っ歯を気にして来院された患者様です。抜歯(上下左右第一小臼歯)で、表側矯正(ワイヤー)とISA(アンカースクリュー)を使用し、咬み合わせを改善しました。
主訴:出っ歯が気になる
診断名:上顎前突・過蓋咬合・正中離開
初診時年齢・性別:17歳・女性
治療装置:表側矯正(ワイヤー)・ISA(アンカースクリュー)
抜歯or非抜歯:抜歯(上下左右第一小臼歯)
治療期間:2年7ヶ月
リスクと副作用:痛み、歯根吸収、歯肉退縮、虫歯、後戻り
費用:86万円程度(税別)
詳細はこちらをご覧ください

上顎前突(出っ歯)、過蓋咬合(咬み合わせが深い)
30歳/女性/治療期間:2年2ヶ月

出っ歯なことを気にして来院された患者様です。抜歯(上顎左右第一小臼歯、下顎右側中切歯)をして、表側矯正(ワイヤー)を使用し、出っ歯と咬み合わせを改善しました。
主訴:出っ歯
診断名:上顎前突・過蓋咬合
初診時年齢・性別:30歳・女性
治療装置:表側矯正(ワイヤー)
抜歯or非抜歯:抜歯(上顎左右第一小臼歯、下顎右側中切歯)
治療期間:2年2ヶ月
リスクと副作用:痛み、歯根吸収、歯肉退縮、虫歯、後戻り
費用:86万円程度(税別)
詳細はこちらをご覧ください
