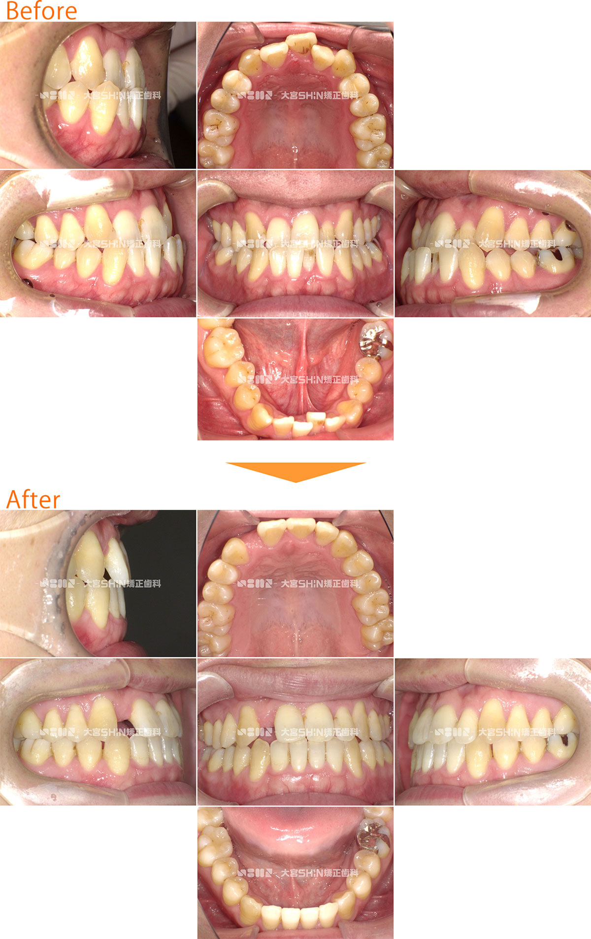
叢生(ガタガタ)、反対咬合(受け口)
25歳/女性/治療期間:2年

歯並びがガタガタであることを気にして来院された患者様です。非抜歯で、上下の歯をヤスリがけして、マウスピース型矯正装置(インビザライン)を使用してガタガタを改善しました。
主訴:ガタガタ、受け口
診断名:叢生・反対咬合
初診時年齢・性別:25歳 女性
治療装置:マウスピース型矯正装置(インビザライン )
抜歯or非抜歯:非抜歯
治療期間:2年
費用:89万円程度(税別)
詳細はこちらをご覧ください
リスクと副作用:痛み、歯根吸収、歯肉退縮、虫歯、後戻り

反対咬合(受け口)
42歳/男性/治療期間:2年2ヶ月

前歯の咬み合わせが逆なことにより、全体的に歯にダメージを受けた状態で来院された患者様です。非抜歯で、ワイヤーで、前歯の咬み合わせを改善をしました。
主訴:噛み合わせが反対
診断名:反対咬合
初診時年齢・性別:42歳・男性
治療装置:ワイヤー
抜歯or非抜歯:非抜歯
治療期間:2年2ヶ月
費用:86万円程度(税別)
詳細はこちらをご覧ください
リスクと副作用:痛み、歯根吸収、歯肉退縮、虫歯、後戻り

反対咬合(受け口)
19歳/男性/治療期間:3年

受け口なことを気にして来院された患者様です。詰め物が入っており、ダメージを受けていたので、上の歯は左右6番目の歯を抜歯しました。下の歯は前歯を1本抜歯し、表側矯正で治療を進めていましたが、患者様が「目立たない装置に変更したい」とのことで、マウスピース型矯正装置(インビザライン)を使用して、咬み合わせを改善しました。
主訴:受け口
診断名:反対咬合
初診時年齢・性別:19歳・男性
治療装置:ワイヤー + マウスピース型矯正装置(インビザライン)
抜歯or非抜歯:抜歯(左右上顎第一大臼歯、下顎前歯1本)
治療期間:3年
費用:93万円程度(税別)
詳細はこちらをご覧ください
リスクと副作用:痛み、歯根吸収、歯肉退縮、虫歯、後戻り

反対咬合(受け口)
46歳/女性/治療期間:3年

咬み合わせが反対なことを気にして来院された患者様です。抜歯(下顎左側側切歯)で、IPR(上下の歯をヤスリがけ)して、マウスピース型矯正装置(インビザライン)を使用し、咬み合わせを改善しました。
主訴:咬み合わせが反対
診断名:反対咬合
初診時年齢・性別:46歳・女性
治療装置:マウスピース型矯正装置(インビザライン)
抜歯or非抜歯:抜歯(下顎左側側切歯)
治療期間:3年
リスクと副作用:痛み、歯根吸収、歯肉退縮、虫歯、後戻り
費用:92万円程度(税別)
詳細はこちらをご覧ください

反対咬合(受け口)
6歳/男の子/治療期間:1年10ヶ月

咬み合わせが反対なことを気にして来院された患者様です。非抜歯で、プレオルソを使用し、咬み合わせを改善した後、表側矯正(ワイヤー)でガタガタを改善しました。
主訴:咬み合わせが反対
診断名:反対咬合
初診時年齢・性別:6歳・男の子
治療装置:プレオルソ、表側矯正(ワイヤー)
抜歯or非抜歯:非抜歯
治療期間:1年10ヶ月
リスクと副作用:痛み、歯根吸収、歯肉退縮、虫歯、後戻り
費用:48万円程度(税別)
詳細はこちらをご覧ください

叢生(ガタガタ)、空隙歯列(正中離開、すきっ歯)、反対咬合(受け口)
8歳/男の子/治療期間:1年11ヶ月

咬み合わせが反対なこと気にして来院された患者様です。非抜歯で、取り外し式矯正装置(拡大床)を使用し、永久歯を並べるためのスペースを確保した後、ワイヤーを使用してガタガタと咬み合わせを改善しました。
主訴:咬み合わせが反対なこと
診断名:叢生・正中離開・反対咬合
初診時年齢・性別8歳・男の子
治療装置:拡大床・ワイヤー
抜歯or非抜歯:非抜歯
治療期間:1年11ヶ月
リスクと副作用:痛み、歯根吸収、歯肉退縮、虫歯、後戻り
費用:48万円程度(税別)
詳細はこちらをご覧ください

反対咬合(受け口)
6歳/男の子/治療期間:2年1ヶ月

咬み合わせが反対なことを気にして来院された患者様です。非抜歯で、プレオルソを使用し、咬み合わせを改善した後、表側矯正(ワイヤー)でガタガタとすき間を改善しました。
主訴:咬み合わせが反対
診断名:反対咬合
初診時年齢・性別:6歳・男の子
治療装置:プレオルソ、表側矯正(ワイヤー)
抜歯or非抜歯:非抜歯
治療期間:2年1ヶ月
リスクと副作用:痛み、歯根吸収、歯肉退縮、虫歯、後戻り
費用:48万円程度(税別)
詳細はこちらをご覧ください
