叢生 26歳 女性 治療期間:2年9ヶ月

CASE 348

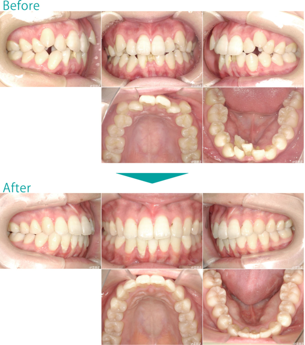
叢生(ガタガタ)

26歳/女性/治療期間:2年7ヶ月

抜歯 マウスピース矯正装置(インビザライン)

ガタガタなことを気にして来院された患者様です。抜歯下顎右側中切歯)で、IPR上下の歯をヤスリがけ)して、マウスピース型矯正装置インビザライン)を使用し、ガタガタ咬み合わせを改善しました。

主訴:ガタガタが気になる

診断名:叢生

初診時年齢・性別:26歳・女性

治療装置:マウスピース型矯正装置(インビザライン)

抜歯or非抜歯:抜歯(下顎右側中切歯)

治療期間:2年9ヶ月

リスクと副作用:痛み、歯根吸収、歯肉退縮、虫歯、後戻り

費用:92万円程度(税別)

詳細はこちらをご覧ください

症例一覧へ

初診相談予約 電話 LINE 初診相談とは?
初診相談予約24時間OK 症例を見る LINE予約ご相談OK 初診相談とは?