上顎前突 27歳 女性 治療期間:2年6ヶ月

CASE 200

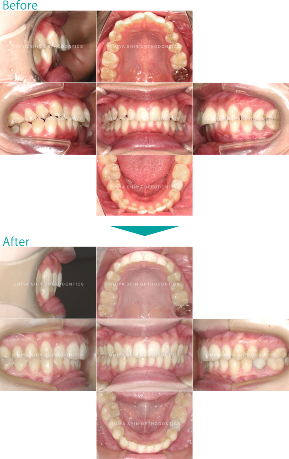
上顎前突(出っ歯)

27歳/女性/治療期間:2年6ヶ月

非抜歯 マウスピース矯正装置(インビザライン)

出っ歯なことを気にして来院された患者様です。非抜歯で、IPR上下の歯をヤスリがけ)をして、マウスピース型矯正装置インビザライン)を使用し、出っ歯咬み合わせを改善しました。

主訴:出っ歯

診断名:上顎前突

初診時年齢・性別:27歳・女性

治療装置:マウスピース型矯正装置(インビザライン)

抜歯or非抜歯:非抜歯

治療期間:2年6ヶ月

リスクと副作用:痛み、歯根吸収、歯肉退縮、虫歯、後戻り

費用:94万円程度(税別)

詳細はこちらをご覧ください

症例一覧へ

初診相談予約 電話 LINE 初診相談とは?
初診相談予約24時間OK 症例を見る LINE予約ご相談OK 初診相談とは?