叢生 19歳 女性 治療期間:2年11ヶ月

CASE 199

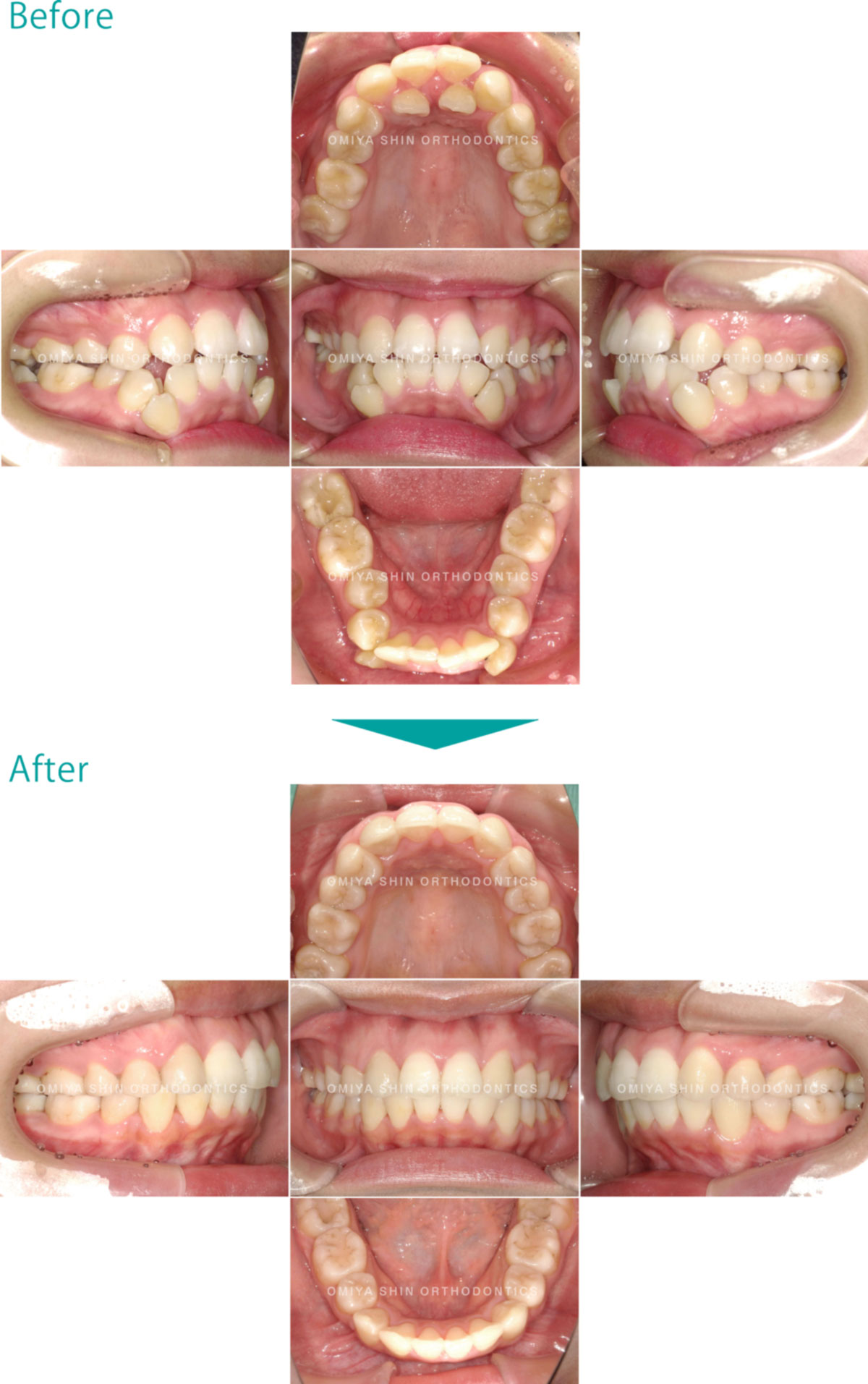
叢生(ガタガタ)

19歳/女性/治療期間:2年11ヶ月

抜歯 表側矯正

ガタガタなことを気にして来院された患者様です。抜歯上顎左右側切歯下顎左右第一小臼歯)で、表側矯正ワイヤー)を使用して、ガタガタ咬み合わせを改善しました。

主訴:ガタガタが気になる

診断名:叢生

初診時年齢・性別:19歳・女性

治療装置:表側矯正(ワイヤー)

抜歯or非抜歯:抜歯(上顎左右側切歯、下顎左右第一小臼歯)

治療期間:2年11ヶ月

リスクと副作用:痛み、歯根吸収、歯肉退縮、虫歯、後戻り

費用:86万円程度(税別)

詳細はこちらをご覧ください

症例一覧へ

初診相談予約 電話 LINE 初診相談とは?
初診相談予約24時間OK 症例を見る LINE予約ご相談OK 初診相談とは?