ガミースマイルは
矯正で治る?

About

ガミースマイルは矯正で治る?

ー 原因別にわかる治療法と注意点 ー

笑ったときに歯ぐきが大きく見える「ガミースマイル」は、写真を撮るときに口元を隠してしまったり、思いきり笑えなかったりと、見た目のコンプレックスにつながりやすい悩みです。

  • 「そもそも、ガミースマイルにはどんな治療方法があるの?」
  • 「ガミースマイルは矯正で治るの?」
  • 「矯正だけで治るのか、それとも他の治療が必要なのか知りたい」

このような疑問から、情報を探している方も多いのではないでしょうか。
ガミースマイルは原因によっては矯正治療で改善できることがあります。一方で、矯正だけでは難しいケースもあります。
このページでは、 ガミースマイルの原因と、矯正で改善できる場合・できない場合を、矯正専門医院の視点からわかりやすく解説します。

Gummy smaile

ガミースマイルとは?

ガミースマイルとは、笑ったときに上の歯ぐき(歯肉)が通常よりも大きく露出する状態を指します。一般的には、歯ぐきが3mm以上見える場合 にガミースマイルと判断されることが多いです。

ガミースマイルでよくあるお悩み

  • 笑うと歯ぐきばかり目立ってしまう
  • 写真や人前で笑うのが苦手
  • 口元に力が入りやすい
  • どこまで治せるのか分からず、治療に踏み出せない

ガミースマイルの悩みは、見た目だけでなく、表情の作りにくさや人からの印象、日常のさまざまな場面に影響することがあります。
見た目の印象から治療を考えがちですが、原因によっては噛み合わせや歯並びといった機能面が関係していることもあります。
後悔しないためには、原因を正しく診断したうえで治療方法を選ぶことが大切です。

Step

ガミースマイルの原因は大きく4つ

ガミースマイルの原因によって、矯正でどこまで改善できるのか、どんな治療方法が適しているのかが変わります。

① 歯並び・かみ合わせが原因の場合
【矯正で改善しやすい】

01

出っ歯(上顎前突(じょうがくぜんとつ))

もっとも多い原因の一つです。
上の歯が前方に突き出していると、上唇が歯の傾斜に沿って上に持ち上げられやすくなります。唇が歯を覆いきれず、笑った瞬間にめくれ上がるようにして歯茎が露出します。

02

過蓋咬合(かがいこうごう):
噛み合わせが深い

上下の歯を噛み合わせたとき、上の前歯が下の前歯を深く覆い隠してしまう状態です。
上の前歯の位置が通常よりも低い(下にある)ため、唇のラインに対して歯茎の面積が相対的に多く見えてしまいます。別名: 「ディープバイト」とも呼ばれ、一見歯並びが綺麗に見えてもガミースマイルになりやすい特徴的な噛み合わせです。

② 上唇の動き・筋肉が原因の場合

笑ったときに上唇が大きく持ち上がることで、歯ぐきが目立つケースです。
この場合、矯正だけでの改善は難しく、ボトックス治療などが検討されることもあります。

③ 歯が小さい・短い場合

歯の大きさに対して歯ぐきが覆いかぶさっている状態です。
歯肉整形や歯冠長延長術が適応になることが多く、矯正単独での改善は難しいケースです。

④ 骨格(上顎骨)が原因の場合

上顎の骨自体が縦に大きい場合、重度のガミースマイルになることがあります。
この場合は、外科矯正が検討されることもあります

Treatment

ガミースマイルが矯正で改善できるケース

「ガミースマイルは矯正では治らない」と言われることもありますが、原因が歯並びや噛み合わせにある場合は、歯列矯正で改善が期待できるケースがあります。
当院で矯正治療を行い、ガミースマイルが改善された症例を紹介します。

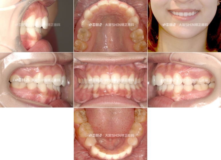
症例1:
出っ歯(上顎前突)を改善してガミースマイルも改善された症例

主訴 出っ歯、ガタガタ、ガミースマイルが気になる
診断名 上顎前突
初診時年齢 22歳
装置名 ワイヤー矯正、矯正用アンカースクリュー2本
抜歯部位 上顎右側第一小臼歯、上顎左側第二小臼歯、下顎左右第一小臼歯
治療期間 2年
費用 ¥910,000(税込¥1,001,000)
リスク・副作用 痛み、歯根吸収、歯肉退縮、虫歯、後戻り
治療のポイント 上顎前突でガミースマイルの場合、抜歯して、第二小臼歯と第一大臼歯の間にアンカースクリューを使用し、後上方に圧下しながら歯を下げることで、上唇が閉じやすくなるので歯茎が見えづらくなります。
Before
After
Before
After

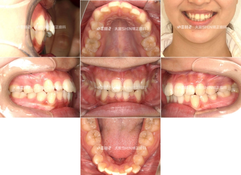
症例2:
かみ合わせが深い歯並び(過蓋咬合)を改善してガミースマイルも改善された症例

主訴 ガタガタ、前歯のかみ合わせ、ガミースマイルが気になる
診断名 過蓋咬合
初診時年齢 28歳
装置名 マウスピース矯正装置(インビザライン)、矯正用アンカースクリュー2本
抜歯部位 なし
治療期間 3年
費用 ¥925,000(税込¥1,017,500)
リスク・副作用 痛み、歯根吸収、歯肉退縮、虫歯、後戻り
治療のポイント 過蓋咬合が原因でガミースマイルの場合、前歯部の上方への垂直的な圧下を促すことで、歯茎が見えづらくなります。
Before
After
Before
After

これらの症例のように、ガミースマイルの原因が歯並びや噛み合わせにある場合、歯列矯正によって歯ぐきの見え方が改善することがあります。
ただし、ガミースマイルの原因は一人ひとり異なるため、同じ治療で同様の結果が得られるとは限りません。矯正で改善できるかどうかは、事前の診断が重要です。

Feature

矯正で治りやすいガミースマイルの人の特徴

ガミースマイルの中でも、特に歯列矯正が向いているのは次のような方です。

  • 歯並びや噛み合わせに乱れがある
  • 出っ歯・噛み合わせの深さを指摘されたことがある
  • 歯ぐきだけでなく、口元全体のバランスも気になっている
  • 一時的な改善ではなく、根本的な改善を希望している
  • 手術や注射にはできるだけ頼りたくない

このような方は、ガミースマイルの原因が歯列や噛み合わせに関係している可能性があり、矯正治療による改善が選択肢になることがあります。
一方で、骨格や上唇の動きが主な原因の場合は、矯正単独では十分な改善が難しいケースもあります。
ガミースマイルが矯正で改善できるかどうかは、見た目だけでは判断できません。
正確な原因を見極めたうえで、自分に合った治療方法を選ぶことが大切です。

ガミースマイルは矯正で治る?【原因別まとめ】

Treatment

矯正治療でガミースマイルを改善する方法

ワイヤー矯正

前歯の位置や噛み合わせを細かくコントロールでき、ガミースマイル改善に適しているケースが多い治療法です。前歯の高さや傾き、噛み合わせ全体のバランスを調整することで、笑ったときの歯ぐきの見え方が変わることがあります。

マウスピース型矯正装置(インビザラインなど)

マウスピース矯正装置(インビザライン)でも治療できます。装置が目立ちにくく、取り外しができるため、 日常生活への影響を抑えながら治療を進めたい方に選ばれることも多い治療方法です。
必要に応じて、ワイヤー矯正や矯正用アンカースクリューを併用し、治療の精度を高めることがあります。

矯正用アンカースクリュー

ガミースマイルの治療では、 前歯を上方向に動かす(圧下する)必要があるケースがあります。
その際、矯正用アンカースクリューを用いることで、歯を動かすための安定した固定源を確保でき、前歯の位置や噛み合わせをより正確に調整することが可能になります。
ワイヤー矯正やマウスピース矯正装置と併用することで、単独の装置では難しい歯の動きにも対応でき、治療の精度を高めることができます。

Treatment

矯正以外のガミースマイルを治療する方法

01

ボトックス治療

  • 上唇の動きを抑える治療
  • 効果は一時的(数ヶ月)
02

歯肉整形・歯冠長延長術

  • 歯ぐきの形を整える治療
  • 歯並びの改善はできない
03

外科矯正

  • 骨格が原因の場合に検討
  • 身体的・心理的負担が大きい

どの治療が適切かは、原因によって異なります。また、矯正治療とこれらの治療方法を併用して改善されることもあります。

Merit & Demerit

矯正でガミースマイルを治すメリット・デメリット

メリット

  • 原因にアプローチできる
  • 噛み合わせや歯並びも同時に改善
  • 長期的な安定が期待できる

デメリット

  • 治療期間が必要
  • 適応症例が限られる
Q&A

よくある質問

ガミースマイル矯正は何年くらいかかりますか?

症例によりますが、一般的には1年半〜3年程度が目安です。

矯正だけで治らないと言われた場合は?

他の治療法との併用や、治療目的の再確認が必要です。

子どものガミースマイルは様子見でいいですか?

成長によって改善するケースもありますが、早めの相談が重要です。

Counseling

ガミースマイルの治療で後悔しないために

ガミースマイルには、歯並び・噛み合わせ・骨格など、複数の原因があります。
そのため、矯正で改善できるケースと、そうでないケースが存在します。

大宮SHIN矯正歯科では、 セファロ分析などの精密な診断をもとに原因を正しく見極め、
ガミースマイルが本当に矯正で改善できるかどうかを、専門的な視点から丁寧にご説明します。必要に応じて、矯正以外の治療選択肢についてもご案内しています。

初診相談予約 電話 LINE 初診相談とは?
初診相談予約24時間OK 症例を見る LINE予約ご相談OK 初診相談とは?