「出っ歯を治すと横顔は変わる?」
「口元の突出は矯正で改善しますか?」
このようなご相談は、矯正相談で非常に多くいただきます。
前歯が前に出ている 「出っ歯(上顎前突)」 の場合、歯並びだけでなく 口元の印象や横顔のバランス に影響することがあります。今回は、実際に出っ歯の矯正治療によって横顔の印象が変化した症例をご紹介しながら、
- 出っ歯と横顔の関係
- 矯正でどのような変化が期待できるのか
について解説します。
目次
出っ歯(上顎前突)とは?
出っ歯とは、上の前歯が前方に突出している歯並びのことをいいます。専門的には 「上顎前突(じょうがくぜんとつ)」 と呼ばれます。出っ歯になる原因はさまざまで、
- 上の歯が前に傾いている
- 上顎が前に出ている
- 下顎が小さい
- 歯並びがデコボコしている
- 口呼吸や舌の癖
などが複合的に関係していることがあります。
出っ歯になる原因
出っ歯(上顎前突)は、歯並びだけが原因の場合と、骨格が関係している場合があります。大きく分けると2つのタイプがあります。
◼︎歯が前に傾いているタイプ(歯性上顎前突)
歯の傾きや歯並びが原因で前歯が前に出ている状態です。例えば、次にあげるようなことが原因になります。
- 歯を並べるスペースが足りない
- 前歯が前に傾いている
- 下の癖や口呼吸
このタイプの場合、矯正治療によって歯の位置を整えることで、口元の突出が改善するケースがあります。
◼︎骨格が関係しているタイプ(骨格性上顎前突)
上顎の骨が前方に出ている、または下顎が小さいなど、骨格にバランスによって出っ歯に見えるケースもあります。骨格の影響が大きい場合には、
- 矯正治療
- 外科的矯正治療
などを組み合わせて治療を行うこともあります。実際の治療方法は、精密検査によって歯並びの状態を確認した上で判断します。
出っ歯を放置するとどうなる?

出っ歯と横顔の関係

横顔の美しさを評価する指標の一つにEライン(エステティックライン) があります。Eラインとは、鼻先と顎先を結んだラインのことで、このラインに対して、
- 唇が内側にある
- もしくは、軽く触れる程度
がバランスの良い口元とされることが多いです。出っ歯の場合、
- 上唇が前に出る
- 口元が突出して見える
- 口が閉じにくい
といった状態になることがあります。そのため、矯正治療によって前歯の位置が整うと、口元の突出感が改善し、横顔の印象が変わることがあります。
ただし、横顔のバランスは
- 顎の骨格
- 鼻の形
- 唇の厚み
などにも影響されるため、すべての方に同じ変化が起こるわけではありません。
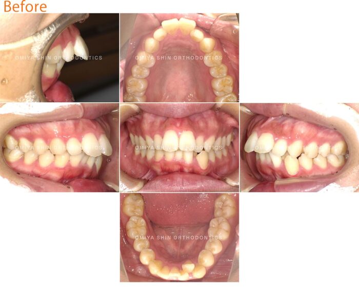
【症例紹介】出っ歯を矯正して横顔が変化したケース


矯正治療のきっかけ
前歯の突出を主訴に来院された患者さまです。大人の歯に生えそろった頃から出っ歯で、写真を撮るとき、笑った時に気になってしまっていたそうです。
治療の方針

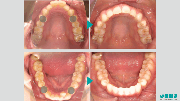
口元を下げて”横顔をスッキリさせたい”とのことでしたので、上下左右第一小臼歯(合計4本)の抜歯し、口元を下げるスペースを確保する準備を行いました。
ある程度、歯並びのガタガタが改善されたら、抜歯した隙間を閉じる作業を行い、その結果口元が下がりました。最後にかみ合わせの調整を行います。
パワーチェーン

矯正治療では、歯を理想的な位置に動かすためにさまざまな装置を使用します。
例えばワイヤー矯正では、歯と歯のすき間を閉じたり歯を引っ張って動かすために、パワーチェーンと呼ばれるゴム状の装置を使用することがあります。パワーチェーンは持続的な力を歯に加えることで、歯を少しずつ理想的な位置へ移動させる役割があります。
パワーチェーンは繋がっているゴムの隙間に汚れが溜まりやすくなります。しっかりと歯磨きするようにしましょう!!
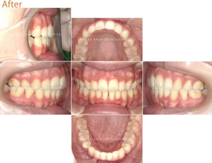
治療後

矯正治療によって歯並びを整えた結果、次のような変化が見られました。
- 前歯の突出が改善
- 口元のバランスが整う
結果として、横顔の印象にも変化が見られました。※治療の効果には個人差があります。
【症例詳細】
主訴:出っ歯が気になる
診断名:上顎前突
初診時年齢:27歳
使用装置:表側ワイヤー矯正・マウスピース矯正装置(インビザライン)
抜歯部位:上下左右第一小臼歯
治療期間:2年9ヶ月
費用:¥900,000(税込¥990,000)
リスク・副作用:痛み、歯根吸収、歯肉退縮、虫歯、後戻り
出っ歯の矯正方法
出っ歯の治療方法は、歯並びや骨格の状態によって異なります。主な矯正方法には次のようなものがあります。
ワイヤー矯正
歯にブラケットとワイヤーを装着して歯を動かす矯正方法です。幅広い症例に対応できるのが特徴です。
アライナー矯正(マウスピース型矯正装置)
透明な装置を使用して歯を動かす矯正方法です。取り外しができ、目立ちにくいという特徴があります。
※症例によってはマウスピース単独だはなく、ワイヤー矯正を併用する場合があります。
抜歯矯正
歯を並べるスペースが不足している場合、小臼歯などを抜歯してスペースを確保することがあります。抜歯が必要かどうかは、
- 歯並び
- かみ合わせ
- 顔貌バランス
などを総合的に判断して決定します。
出っ歯の矯正を検討している方へ
出っ歯の治療では
- 歯並び
- かみ合わせ
の改善だけでなく、前歯の位置が整うことで、口元の突出感が軽減し、横顔の印象が変化するケースもあります。ただし、
- 横顔の変化の程度
- 抜歯の必要性
- 治療方法
は患者さまの歯並びや骨格の状態によって異なります。そのため、まずは矯正相談で現在の歯並びや骨格に状態を確認することが大切です。出っ歯や口元の突出感が気になる方は、ぜひ一度ご相談ください。
よくある質問
出っ歯を矯正すると顔は変わりますか?
出っ歯(上顎前突)の場合、前歯の位置が前方にあることで唇が前に押し出され、口元が突出して見えることがあります。
矯正治療によって前歯の位置が整うと、口元の突出感が軽減し、横顔の印象が変化することがあります。
ただし、顔貌は骨格や唇の厚みなどの影響も受けるため、変化の程度には個人差があります。
出っ歯の矯正でEラインは改善しますか?
出っ歯の矯正によって前歯の位置が整うと、唇の位置も後方に移動することがあり、Eラインとのバランスが改善するケースがあります。ただし、Eラインは
- 鼻の高さ
- 顎の形
- 骨格のバランス
などにも影響されるため、すべての方で大きく変化するとは限りません。
出っ歯の矯正は抜歯が必要ですか?
出っ歯の矯正で抜歯が必要かどうかは、歯並びや骨格の状態によって異なります。例えば、
- 歯を並べるスペースが不足している
- 前歯の突出が大きい
- 口元の突出を改善したい
といった場合には、小臼歯の抜歯を行ってスペースを確保することがあります。一方で、歯並びの状態によっては抜歯を行わずに治療できるケースもあります。治療方法は精密検査の結果をもとに、患者さまの状態に合わせて判断します。
出っ歯の矯正はどのくらいの期間がかかりますか?
出っ歯の矯正治療にかかる期間は、歯並びやかみ合わせの状態、治療方法によって異なります。
一般的には 約1年半〜2年半程度が目安となることが多いですが、症状の程度によってはそれより短い場合や、長くなる場合もあります。例えば、
- 軽度の出っ歯の場合→ 約1年〜1年半程度
- 歯並びのデコボコや噛み合わせの問題がある場合→ 約2年前後
- 抜歯を伴う矯正治療の場合→ 約2年〜2年半程度
といったケースが一般的です。また、矯正装置を外した後には、歯並びを安定させるための保定期間(リテーナー)も必要になります。
実際の治療期間は患者さまによって異なるため、詳しくは矯正相談や精密検査で確認することが大切です。


