「勉強や部活動と両立できるのか」「装置の痛みや違和感はどのくらいあるのか」
中高生の矯正治療を考えるとき、このような不安を感じる保護者の方は多くいらっしゃいます。
今回は、14歳の男の子が歯を抜かずにマウスピース矯正装置(インビザライン)で出っ歯(上顎前突)を改善した実例をご紹介します。
成長期の骨格の柔軟性を生かし、自然でバランスの取れた口元を目指した治療です。
目次
出っ歯(上顎前突)とは?
上の前歯が前方に傾いていたり、上顎自体が下顎より前に出ている状態をいいます。
原因は人それぞれです。
- 遺伝的な骨格の特徴
- 指しゃぶりや口呼吸の癖
- 噛み合わせや舌の位置の影響
見た目だけでなく、機能的なトラブルも起こりやすい歯並びです。
- 唇が閉じにくく乾燥しやすい
- 発音がしづらい
- 前歯が折れやすい

中学生でもマウスピースで矯正はできる?
永久歯が生えそろう中学生の時期は、成長による骨格変化がまだ残っている理想的なタイミングです。
マウスピース矯正装置は、透明で目立たず、取り外しも可能。
食事や歯みがきの際に外せるため、学校生活にも支障がありません。
また、金属アレルギーの心配がない点も安心です。
マウスピース矯正装置の中でも、インビザラインは10代むけのタイプがあり、成長中の歯列に対応できる構造になっています。
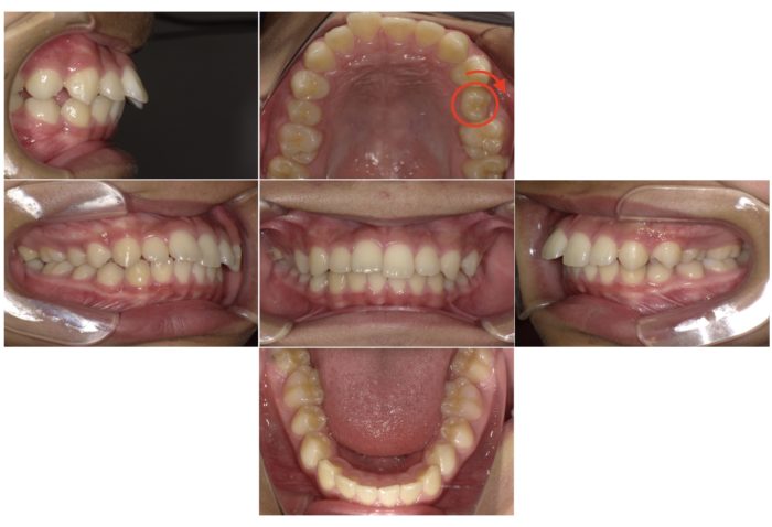
症例紹介:14歳 男の子のケース
◼︎かみ合わせが悪いと学校の歯科健診で指摘され来院
ご本人もご家族も、これまでかみ合わせの悪さを感じたことはありませんでした。
学校の歯科健診で指摘を受け、近所の歯科医院で矯正相談をされたそうです。
その際、上の歯を2本抜いて矯正する方法を提案されましたが、健康な歯を抜くことに抵抗があり、当院の無料相談(カウンセリング)にお越しいただきました。
歯を抜かずに治せた理由

抜歯をせずにスペースを確保するため、以下の方法を組み合わせています
- 上顎の赤い丸が付いている歯のねじれを改善し、歯の向きを正しくする
- 歯の側面をわずかに削るIPR(ディスキング)でスペースを作る
- 奥歯を後方に移動させて前歯を後退させる
これにより、歯を抜かずに口元の突出感を改善することができました。
治療のながれ
- 診断:上顎前突
- 治療方法:マウスピース矯正装置(インビザライン)
- 通院頻度:1~3ヶ月に1回
初回のマウスピースは全40枚でスタートしました。
1週間ごとに新しいマウスピースへ交換し、約10カ月で使い終わりました。
◼︎2回目のマウスピース

こちらは、1回目のアライナー(マウスピース)をすべて使用し終えた時点のお口の中の状態です。
全体的に歯がきれいに並んできましたが、上の2番目の歯(側切歯)に左右ともわずかなねじれが残っていました。(画像中央)
また、奥歯のかみ合わせがまだ十分にかみ合っていない状態も見られます。(画像右)
横から見ると、上の前歯の前方への傾き(出っ歯)もわずかに残存していました。(画像左)
そのため、より理想的な歯並びと咬み合わせを目指し、追加アライナーで細かな調整を行うことにしました。
追加アライナーは全部で25枚。
1回目と同様に1週間ごとに交換し、約6カ月かけて進めていただきました。
こちらの動画は、2回目のアライナー(マウスピース)をすべて使用し終えた時点のお口の中の様子です。
1回目では並びきらなかった上の前歯のねじれがしっかり改善し、きれいに整いました。
さらに、奥歯のかみ合わせや上の前歯の前方への傾き(出っ歯)も改善され、より理想的なかみ合わせになっています。
Before→After・症例詳細
マウスピース矯正装置(インビザライン)の使用ルールや装着時間をきちんと守っていただいた結果、約1年6カ月で動的治療が完了しました。
◼︎側方 Before→After

こちらは、治療後の横から見たお口の中の様子です。
気になっていた出っ歯がしっかりと改善され、横顔の印象がすっきりしました。
◼︎正面 Before→After

前歯のガタつきがしっかりと改善され、歯列全体がきれいに整いました。
さらに、正中:上の歯と下の歯の中心(写真の青線)を合わせることで、見た目のバランスも美しく仕上がっています。
◼︎上顎 Before→After

ねじれていた歯の向きを正しい向きに整え、やすりがけを行い、飛び出ていた歯がきちんと歯列におさまりました。
◼︎症例詳細
- 主訴:かみ合わせが悪いと学校の歯科検診で指摘された
- 診断名:上顎前突
- 初診時年齢:14歳
- 使用装置:マウスピース矯正装置(インビザライン)
- 抜歯部位:なし
- 動的治療期間:1年6ヶ月
- 治療費用:920,000円
- リスク・副作用:痛み、歯根吸収、歯肉退縮、虫歯、後戻り
10代で出っ歯(上顎前突)をマウスピース矯正装置で治すメリット
- 透明で目立たないので、学校生活でも安心
- 痛みが少なく、違和感が少ない
- 通院回数が少なく、部活や学業と両立しやすい
- 成長期の骨格変化を利用し、歯を抜かずに歯列矯正できる可能性が高い
出っ歯(上顎前突)は、歯の傾きや骨格のバランス、生活習慣などさまざまな要因が関係する歯並びです。成長期のうちに適切な診断と治療を行えば、歯を抜かずに改善できるケースが多くあります。
お子さんの歯並びが気になったら、早めに専門医にご相談ください。
未来の笑顔のために、お子さまにとって安心できる方法を一緒に見つけていきましょう。



