矯正の再治療

About

矯正の再治療

― いちど矯正したけれど、歯並びが気になってきた方へ ―

「矯正したのに、歯並びが戻ってきてしまった」
「途中で治療をやめてしまい、そのままになっている」
「最後まで治療したけれど、仕上がりに満足できなかった」
矯正治療の再治療(やり直し)について、再矯正を考えていても、
不安・迷い・現実的な負担が重なり、今はまだ一歩を踏み出せずにいる方が多いのではないでしょうか。

Reason

再治療が必要になる理由

矯正の再治療が必要になる背景には、治療計画や治療経過に加え、成長発育や生活環境の変化など、複数の要因が関与しています。
矯正後の仕上がりや歯並びの変化に違和感を覚えるケースには、いくつか共通する傾向が見られます。

  • 子どもの頃に矯正していた
  • 保定(リテーナー)の装着が十分でなかった
  • 非抜歯で矯正したがやはり抜歯して矯正したい
  • 部分矯正をしたが仕上がりに満足できないのでもう一度矯正したい
  • 通院間隔が空いた、途中で治療を中断してしまった

これらは決して特別なことではなく、矯正治療という長期的な医療の中で、起こりうる変化です。
特に近年は、部分矯正しかできない低価格のマウスピース矯正装置の普及により、本来は全体矯正が必要だった症例が、十分な調整を行えないまま終了してしまうケースも見られます。
だからこそ、再治療では原因を見極めることが大切です。

Step

大宮SHIN矯正歯科の
再治療の流れ

当院では、再治療をご希望の方に対し、まず精密検査を行い、原因を丁寧に分析します。

01

CT・口腔内スキャナーによる精密検査

02

セファロ分析(骨格・かみ合わせの評価)

03

歯の動き・後戻りの原因の把握

当院で矯正治療された方の再治療の場合、精密検査を行わないこともあります。そのうえで、必要な治療だけを、適切な方法で行うことを大切にしています。

Treatment

再治療で選べる治療方法

再治療だからといって、必ず大がかりな治療になるわけではありません。
状態によって、以下のような選択肢があります。

ワイヤー矯正

マウスピース型矯正装置(インビザラインなど)

ワイヤーとマウスピースの併用

※「前回マウスピースでうまくいかなかった=もう使えない」とは限りません。

治療期間の目安

部分的な再治療

約6か月〜1年

全体的な再治療

約1年〜2年

※症例によって異なります。

費用の目安

部分矯正の再治療

15〜40万円程度

全体矯正の再治療

30〜100万円程度

※精密検査後に、正式なお見積りをご提示します。

Pain

痛みについて

再治療では、すでに歯がある程度動いているため、初回の矯正より痛みが軽いケースが多いとされています。痛みの出方には個人差がありますが、できるだけ負担の少ない調整を行います。

Worries

「同じ医院で続けるべきか」
「他院へ移るべきか」

― どちらの選択も、当院は対応可能です ―

再治療を検討されている方が、最も悩まれるポイントです。

  • 今の医院で続けるべきか
  • 別の医院に相談した方がいいのか

どちらが正解、ということはありません。

当院ではどちらにも対応しています。

  • 現在通院中の医院での治療継続を前提としたアドバイス
  • 他院からの転院を含めた再治療

再治療の場合、矯正治療費の基本料金が1~3割割引きになる可能性があります。割引についての詳細はカウンセリングでご相談ください。

  • 前の医院名を伝えなくても構いません
  • 治療資料がなくても問題ありません

当院で改めて検査を行い、診断することが可能です。

Case

再治療の症例紹介

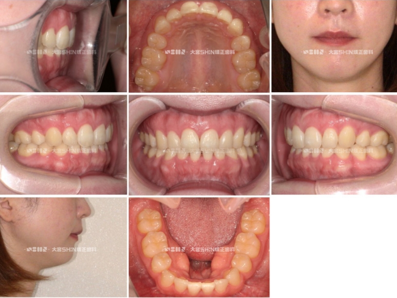
Before
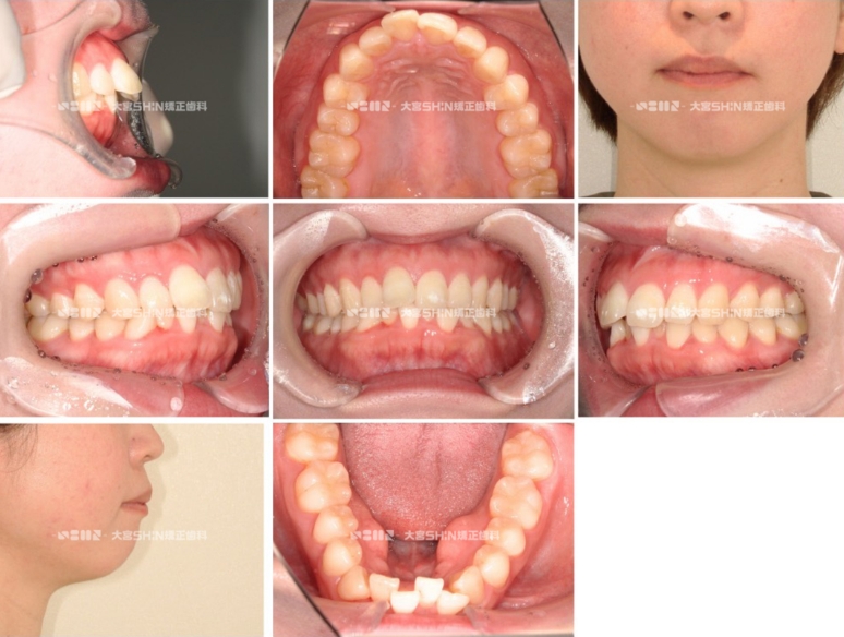
After
                                                      
主訴 以前他院でマウスピースで部分矯正を行ったが、ガタガタと出っ歯が気になる
診断名 叢生
初診時年齢 30歳
使用装置 ワイヤー矯正(ホワイトワイヤー)
抜歯部位 上下左右第一小臼歯
治療期間 2年3ヶ月
費用 ¥780,000(税込¥858,000)
リスク副作用 痛み、歯根吸収、歯肉退縮、むし歯、後戻り※症例は一例です。結果には個人差があります。
Q&A

よくある質問

再治療は必ず必要ですか?

状態によります。経過観察で問題ない場合もあります。

今使っている装置をそのまま使えますか?

状況によります。継続可能な場合もあります。

相談だけでも大丈夫ですか?

はい。無理な治療のご案内は行いません。

他院の治療について話しづらいのですが…

無理にお話しいただく必要はありません。

Counseling

まずはお気軽にご相談ください

再治療を考えることは、 失敗や間違いではなく、今の状態に合わせて整えていく前向きな選択です。
矯正治療は、成長や生活環境、保定の状況などによって、 時間が経ってから調整が必要になることもある治療です。
小児矯正を経験された方が、大人になってから再度相談されることも、決して珍しくありません。
当院では、過去の治療を否定したり責任を問うことはせず、 現在の歯並び・かみ合わせの状態をもとに、患者様に適した再治療の方法を一緒に考えます。

初診相談予約 電話 LINE 初診相談とは?
初診相談予約24時間OK 症例を見る LINE予約ご相談OK 初診相談とは?